• Tel: 858.663.9055
  • SeparatorEmail: info@nsjbio.com
  • Tel: 858.663.9055
  • Email: info@nsjbio.com
Home >> Antibodies >> DEK Antibody

DEK Antibody (F55024)

  Catalog No Formulation Size Price (USD)  
Image F55024-0.4ML In 1X PBS, pH 7.4, with 0.09% sodium azide 0.4 ml 429
Image
F55024-0.08ML In 1X PBS, pH 7.4, with 0.09% sodium azide 0.08 ml 199
Bulk quote request
Western blot testing of human 1) U-251 MG and 2) PC-3 cell lysate with DEK antibody. Expected molecular weight: 43-50 kDa.
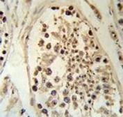
IHC testing of FFPE human testis tissue with DEK antibody. HIER: steam section in pH6 citrate buffer for 20 min and allow to cool prior to staining.
Immunofluorescent staining of human HeLa cells with DEK antibody (green) and DAPI nuclear stain (blue).
Flow cytometry testing of human WiDr cells with DEK antibody; Blue=isotype control, Green= DEK antibody.
Availability 1-3 business days
Species Reactivity Human
Format Purified
Clonality Polyclonal (rabbit origin)
Isotype Rabbit Ig
Purity Antigen affinity purified
UniProt P35659
Localization Nuclear, cytoplasmic
Applications Western Blot : 1:500-1:1000
Immunofluorescence : 1:10-1:50
Flow Cytometry : 1:10-1:50 (1x10e6 cells)
Immunohistochemistry (FFPE) : 1:50-1:100
Limitations This DEK antibody is available for research use only.
Review this product on BioCompare and get a $20 Amazon gift card

Description

DEK is a protein with one SAP domain. This protein binds to cruciform and superhelical DNA and induces positive supercoils into closed circular DNA, and is also involved in splice site selection during mRNA processing. Chromosomal aberrations involving this region, increased expression of this gene, and the presence of antibodies against this protein are all associated with various diseases.

Application Notes

The stated application concentrations are suggested starting points. Titration of the DEK antibody may be required due to differences in protocols and secondary/substrate sensitivity.

Immunogen

A portion of amino acids 336-364 from the human protein was used as the immunogen for the DEK antibody.

Storage

Aliquot the DEK antibody and store frozen at -20oC or colder. Avoid repeated freeze-thaw cycles.

Cross
Bulk Quote Request Form
Name*:
Organization*:
Email*:
Phone Number*:
Catalog No.*:
Comments and Specifics(amount, formulation, etc.)*:
Validation code: Captchapackage Image


Can't read the image? click here to refresh.
    *required field

Your bulk quote request has been submitted successfully!

Please contact us if you have any questions.