• Tel: 858.663.9055
  • SeparatorEmail: info@nsjbio.com
  • Tel: 858.663.9055
  • Email: info@nsjbio.com
Home >> Antibodies >> Decorin Antibody

Decorin Antibody (R31589)

  Catalog No Formulation Size Price (USD)  
Image R31589 0.5mg/ml if reconstituted with 0.2ml sterile DI water 100 ug 439
Bulk quote request
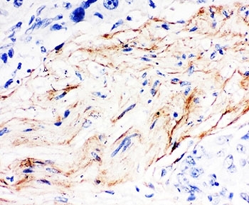
IHC-P: Decorin antibody testing of human breast cancer tissue. HIER: boil tissue sections in pH6, 10mM citrate buffer, for 20 min and allow to cool before testing.
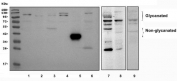
Western blot testing testing of human 1) MCF-7, 2) HeLa, 3) HepG2, 4) SW620, 5) rat liver, 6) rat RH35, 7) rat PC-12, 8) rat C6 and 9) mouse thymus lysate with Decorin antibody. Predicted molecular weight ~40 kDa (non-glycanated), 90-140 kDa (glycanated).
Availability 1-3 business days
Species Reactivity Human, Mouse, Rat
Format Antigen affinity purified
Clonality Polyclonal (rabbit origin)
Isotype Rabbit IgG
Purity Antigen affinity
Buffer Lyophilized from 1X PBS with 2% Trehalose
Gene ID 1634
Applications Western Blot : 0.5-1ug/ml
Immunohistochemistry (FFPE) : 0.5-1ug/ml
Limitations This Decorin antibody is available for research use only.
Review this product on BioCompare and get a $20 Amazon gift card

Related Products

Description

Decorin is a protein that in humans is encoded by the DCN gene. This gene is mapped to 12q21.3. It belongs to the small leucine-rich proteoglycan (SLRP) family and consists of a protein core containing leucine repeats with a glycosaminoglycan (GAG) chain consisting of either chondroitin sulfate (CS) or dermatan sulfate (DS). Decorin is a small cellular or pericellular matrix proteoglycan and is closely related in structure to Biglycan protein. This protein is a component of connective tissue, binds to type I collagen fibrils, and plays a role in matrix assembly. And it also may play a role in epithelial/mesenchymal interactions during organ development and shaping. Decorin has been shown to have anti-tumorigenic properties in an experimental murine tumor model and is capable of suppressing the growth of various tumor cell lines.

Application Notes

The stated application concentrations are suggested starting amounts. Titration of the Decorin antibody may be required due to differences in protocols and secondary/substrate sensitivity.

Immunogen

Human partial recombinant protein (AA 31-359) was used as the immunogen for this Decorin antibody.

Storage

After reconstitution, the Decorin antibody can be stored for up to one month at 4oC. For long-term, aliquot and store at -20oC. Avoid repeated freezing and thawing.

Cross
Bulk Quote Request Form
Name*:
Organization*:
Email*:
Phone Number*:
Catalog No.*:
Comments and Specifics(amount, formulation, etc.)*:
Validation code: Captchapackage Image


Can't read the image? click here to refresh.
    *required field

Your bulk quote request has been submitted successfully!

Please contact us if you have any questions.