• Tel: 858.663.9055
  • SeparatorEmail: info@nsjbio.com
  • Tel: 858.663.9055
  • Email: info@nsjbio.com
Home >> Antibodies >> Decorin Antibody

Decorin Antibody [clone DCN/3521] (V5683)

  Catalog No Formulation Size Price (USD)  
Image V5683-100UG 0.2 mg/ml in 1X PBS with 0.1 mg/ml BSA (US sourced), 0.05% sodium azide 100 ug 539
Image
V5683-20UG 0.2 mg/ml in 1X PBS with 0.1 mg/ml BSA (US sourced), 0.05% sodium azide 20 ug 249
Image
V5683SAF-100UG 1 mg/ml in 1X PBS; BSA free, sodium azide free 100 ug 539
Microvalidated
Bulk quote request
Analysis of HuProt(TM) microarray containing more than 19,000 full-length human proteins using Decorin antibody (clone DCN/3521). These results demonstrate the foremost specificity of the DCN/3521 mAb. Z- and S- score: The Z-score represents the strength of a signal that an antibody (in combination with a fluorescently-tagged anti-IgG secondary Ab) produces when binding to a particular protein on the HuProt(TM) array. Z-scores are described in units of standard deviations (SD's) above the mean value of all signals generated on that array. If the targets on the HuProt(TM) are arranged in descending order of the Z-score, the S-score is the difference (also in units of SD's) between the Z-scores. The S-score therefore represents the relative target specificity of an Ab to its intended target.
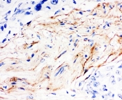
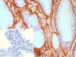
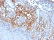
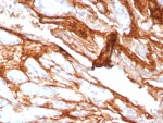
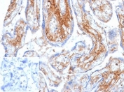
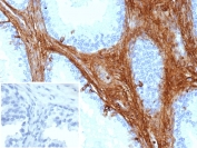
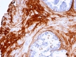
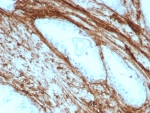
IHC staining of FFPE human prostate carcinoma tissue with Decorin antibody (clone DCN/3521). Inset: PBS used in place of primary Ab (secondary Ab negative control). HIER: boil tissue sections in pH 9 10mM Tris with 1mM EDTA for 20 min and allow to cool before testing.
SDS-PAGE analysis of purified, BSA-free Decorin antibody (clone DCN/3521) as confirmation of integrity and purity.
Availability 1-3 business days
Species Reactivity Human
Format Purified
Clonality Monoclonal (mouse origin)
Isotype Mouse IgG2b, kappa
Clone Name DCN/3521
Purity Protein G affinity
UniProt P07585
Localization Secreted
Applications Immunohistochemistry (FFPE) : 1-2ug/ml
Limitations This Decorin antibody is available for research use only.
Review this product on BioCompare and get a $20 Amazon gift card

Related Products

Description

Decorin antibody detects decorin, a small leucine-rich proteoglycan encoded by the DCN gene. Decorin is a key component of the extracellular matrix where it regulates collagen fibrillogenesis, modulates growth factor activity, and contributes to tissue organization. Its diverse roles extend across connective tissue biology, fibrosis, and cancer research, making Decorin antibody a versatile tool in biomedical science.

Decorin consists of a core protein with leucine-rich repeats and a single glycosaminoglycan chain, typically dermatan sulfate or chondroitin sulfate. By binding collagen fibrils, decorin regulates their diameter and spacing, ensuring the structural integrity of tissues such as skin, tendon, and cornea. In addition, decorin interacts with growth factors including TGF-beta, EGF receptor ligands, and IGF, modulating their activity and influencing cell proliferation, adhesion, and migration. These functions highlight its dual role as a structural and signaling regulator.

The Decorin antibody clone DCN/3521 provides reliable detection of this proteoglycan. Clone DCN/3521 has been used in peer-reviewed studies exploring extracellular matrix remodeling, fibrotic disease mechanisms, and tumor biology. Its specificity makes it suitable for studying both normal connective tissue organization and pathological remodeling. Consistency of performance allows researchers to confidently track decorin expression across diverse model systems.

Research using clone DCN/3521 has clarified how decorin acts as a natural antagonist of TGF-beta, limiting fibrosis and excessive extracellular matrix deposition. In cancer, decorin has been shown to modulate receptor tyrosine kinase signaling, where its presence can inhibit tumor progression by interfering with growth factor pathways. Beyond pathology, decorin is essential in corneal transparency and tendon resilience, making it relevant for musculoskeletal and ophthalmologic studies. Detection with this antibody provides insight into both tissue homeostasis and disease development.

NSJ Bioreagents supplies this Decorin antibody to support extracellular matrix biology, fibrosis research, and cancer investigations. Alternate terms include DCN antibody, dermatan sulfate proteoglycan antibody, small leucine-rich proteoglycan antibody, SLRP family protein antibody, and collagen binding proteoglycan antibody.

Application Notes

Optimal dilution of the Decorin antibody should be determined by the researcher.

Immunogen

A recombinant human Decorin partial protein (within amino acids 212-336) was used as the immunogen for the Decorin antibody.

Storage

Aliquot the Decorin antibody and store frozen at -20oC or colder. Avoid repeated freeze-thaw cycles.

Cross
Bulk Quote Request Form
Name*:
Organization*:
Email*:
Phone Number*:
Catalog No.*:
Comments and Specifics(amount, formulation, etc.)*:
Validation code: Captchapackage Image


Can't read the image? click here to refresh.
    *required field

Your bulk quote request has been submitted successfully!

Please contact us if you have any questions.