• Tel: 858.663.9055
  • SeparatorEmail: info@nsjbio.com
  • Tel: 858.663.9055
  • Email: info@nsjbio.com
Home >> Antibodies >> DDR2 Antibody / Discoidin domain receptor 2

DDR2 Antibody / Discoidin domain receptor 2 (RQ4561)

  Catalog No Formulation Size Price (USD)  
Image RQ4561 0.5mg/ml if reconstituted with 0.2ml sterile DI water 100 ug 439
Bulk quote request
Immunofluorescent staining of FFPE human U-87 MG cells with DDR2 antibody (green) and DAPI nuclear stain (blue). HIER: steam section in pH6 citrate buffer for 20 min.
Western blot testing of 1) rat kidney and 2) mouse kidney lysate with DDR2 antibody at 0.5ug/ml. Predicted molecular weight ~97 kDa but may be observed at higher molecular weights due to glycosylation.
Flow cytometry testing of fixed and permeabilized human U-87 MG cells with DDR2 antibody at 1ug/million cells (blocked with goat sera); Red=cells alone, Green=isotype control, Blue= DDR2 antibody.
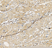
IHC staining of FFPE human heart tissue with DDR2 antibody, HRP-secondary and DAB substrate. HIER: boil tissue sections in pH8 EDTA for 20 min and allow to cool before testing.
Availability 1-3 business days
Species Reactivity Human, Mouse, Rat
Format Antigen affinity purified
Clonality Polyclonal (rabbit origin)
Isotype Rabbit IgG
Purity Antigen affinity purified
Buffer Lyophilized from 1X PBS with 2% Trehalose
UniProt Q16832
Localization Plasma membrane, cytoplasm
Applications Western Blot : 0.5-1ug/ml
Immunofluorescence : 5ug/ml
Flow Cytometry : 1-3ug/million cells
Immunohistochemistry (FFPE) : 2-5ug/ml
Direct ELISA : 0.1-0.5ug/ml (recombinant human protein)
Limitations The DDR2 antibody is available for research use only.
Review this product on BioCompare and get a $20 Amazon gift card

Related Products

Description

DDR2 (Discoidin domain receptor 2) is a receptor tyrosine kinase that is activated by fibrillar collagens rather than soluble peptide growth factors. It contains an extracellular discoidin domain that mediates high-affinity binding to collagen, leading to receptor autophosphorylation and activation of downstream signaling pathways involved in cell adhesion, migration, proliferation, and extracellular matrix remodeling.

DDR2 is expressed in various mesenchymal-derived cells, including fibroblasts, chondrocytes, and smooth muscle cells. It plays key roles in connective tissue development, skeletal formation, and tissue repair processes. Altered DDR2 signaling has been linked to changes in extracellular matrix organization and cell-matrix communication, making it an important marker in studies of developmental biology and matrix regulation.

The DDR2 antibody is a valuable reagent for detecting endogenous DDR2 in applications such as western blot, immunohistochemistry, and immunofluorescence. Researchers use the DDR2 antibody from NSJ Bioreagents to monitor protein expression levels, analyze receptor localization, and investigate collagen-induced signaling. With high specificity and consistent performance, the DDR2 antibody supports detailed studies of receptor tyrosine kinase biology and collagen-mediated cellular responses.

Application Notes

Optimal dilution of the DDR2 antibody should be determined by the researcher.

Immunogen

Amino acids T801-E855 from the human protein were used as the immunogen for the DDR2 antibody.

Storage

After reconstitution, the DDR2 antibody can be stored for up to one month at 4oC. For long-term, aliquot and store at -20oC. Avoid repeated freezing and thawing.

Cross
Bulk Quote Request Form
Name*:
Organization*:
Email*:
Phone Number*:
Catalog No.*:
Comments and Specifics(amount, formulation, etc.)*:
Validation code: Captchapackage Image


Can't read the image? click here to refresh.
    *required field

Your bulk quote request has been submitted successfully!

Please contact us if you have any questions.