• Tel: 858.663.9055
  • SeparatorEmail: info@nsjbio.com
  • Tel: 858.663.9055
  • Email: info@nsjbio.com
Home >> Antibodies >> DDR1 Antibody

DDR1 Antibody (F50648)

  Catalog No Formulation Size Price (USD)  
Image F50648-0.4ML In 1X PBS, pH 7.4, with 0.09% sodium azide 0.4 ml 429
Image
F50648-0.08ML In 1X PBS, pH 7.4, with 0.09% sodium azide 0.08 ml 199
Bulk quote request
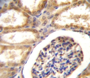
DDR1 antibody immunohsitochemistry analysis in formalin fixed and paraffin embedded human kidney tissue.
Western blot analysis of DDR1 antibody in human placental lysate. Predicted molecular weight: 100~125KD.
DDR1 antibody flow cytometric analysis of 293 cells (right histogram) compared to a negative control (left histogram). FITC-conjugated goat-anti-rabbit secondary Ab was used for the analysis.
Western blot testing of human MCF7 cell lysate with DDR1 antibody. Predicted molecular weight: 100-125 kDa.
Western blot testing of rat brain tissue lysate with DDR1 antibody. Predicted molecular weight: 100-125 kDa.
Availability 1-3 business days
Species Reactivity Human, Rat
Predicted Reactivity Mouse
Format Purified
Clonality Polyclonal (rabbit origin)
Isotype Rabbit Ig
Purity Purified
UniProt Q08345
Applications Western Blot : 1:1000
IHC (Paraffin) : 1:10-1:50
Flow Cytometry : 1:10-1:50
Limitations This DDR1 antibody is available for research use only.
Review this product on BioCompare and get a $20 Amazon gift card

Related Products

Description

Receptor tyrosine kinases (RTKs) play a key role in the communication of cells with their microenvironment. These molecules are involved in the regulation of cell growth, differentiation and metabolism. DDR1 is a RTK that is widely expressed in normal and transformed epithelial cells and is activated by various types of collagen. This protein belongs to a subfamily of tyrosine kinase receptors with a homology region to the Dictyostelium discoideum protein discoidin I in their extracellular domain. Its autophosphorylation is achieved by all collagens so far tested (type I to type VI). In situ studies and Northern-blot analysis showed that expression of this encoded protein is restricted to epithelial cells, particularly in the kidney, lung, gastrointestinal tract, and brain. In addition, this protein is significantly over-expressed in several human tumors from breast, ovarian, esophageal, and pediatric brain. The gene is located on chromosome 6p21.3 in proximity to several HLA class I genes.

Application Notes

Titration of the DDR1 antibody may be required due to differences in protocols and secondary/substrate sensitivity.

Immunogen

A portion of amino acids 17-47 from the human protein was used as the immunogen for this DDR1 antibody.

Storage

Aliquot the DDR1 antibody and store frozen at -20oC or colder. Avoid repeated freeze-thaw cycles.

Cross
Bulk Quote Request Form
Name*:
Organization*:
Email*:
Phone Number*:
Catalog No.*:
Comments and Specifics(amount, formulation, etc.)*:
Validation code: Captchapackage Image


Can't read the image? click here to refresh.
    *required field

Your bulk quote request has been submitted successfully!

Please contact us if you have any questions.