• Tel: 858.663.9055
  • SeparatorEmail: info@nsjbio.com
  • Tel: 858.663.9055
  • Email: info@nsjbio.com
Home >> Antibodies >> DDC Antibody / DOPA decarboxylase

DDC Antibody / DOPA decarboxylase (FY12305)

  Catalog No Formulation Size Price (USD)  
Image FY12305 Adding 0.2 ml of distilled water will yield a concentration of 500 ug/ml 100 ug 439
Bulk quote request
Flow Cytometry analysis of HepG2 cells using anti-DDC antibody. Overlay histogram showing HepG2 cells stained with (Blue line). To facilitate intracellular staining, cells were fixed with 4% paraformaldehyde and permeabilized with permeabilization buffer. The cells were blocked with 10% normal goat serum. And then incubated with rabbit anti-DDC antibody (1 ug/million cells) for 30 min at 20oC. DyLight 488 conjugated goat anti-rabbit IgG (5-10 ug/million cells) was used as secondary antibody for 30 minutes at 20oC. Isotype control antibody (Green line) was rabbit IgG (1 ug/million cells) used under the same conditions. Unlabelled sample without incubation with primary antibody and secondary antibody (Red line) was used as a blank control.
Western blot analysis of DDC using anti-DDC antibody. Electrophoresis was performed on a 10% SDS-PAGE gel at 80V (Stacking gel) / 120V (Resolving gel) for 2 hours. Lane 1: human SHSY-5Y whole cell lysates, Lane 2: human Caco-2 whole cell lysates, Lane 3: human HepG2 whole cell lysates, Lane 4: rat NRK whole cell lysates, Lane 5: rat PC-12 whole cell lysates, Lane 6: mouse kidney tissue lysates. After electrophoresis, proteins were transferred to a nitrocellulose membrane at 150 mA for 50-90 minutes. Blocked the membrane with 5% non-fat milk/TBS for 1.5 hour at RT. The membrane was incubated with rabbit anti-DDC antibody at 0.5 ug/ml overnight at 4oC, then washed with TBS-0.1%Tween 3 times with 5 minutes each and probed with a goat anti-rabbit IgG-HRP secondary antibody at a dilution of 1:5000 for 1.5 hour at RT. The signal was developed using an ECL Plus Western Blotting Substrate. The expected molecular weight of DDC is ~54 kDa.
Immunoprecipitation of DDC in SH-SY5Y whole cell lysate. Western blot analysis of DDC using anti-DDC antibody; Lane 1: SH-SY5Y whole cell lysates (30ug); Lane 2: Rabbit control IgG instead of anti-DDC antibody in SH-SY5Y whole cell lysate; Lane 3: anti-DDC antibody (2ug) + SH-SY5Y whole cell lysate (500ug). After electrophoresis, proteins were transferred to a membrane. Then the membrane was incubated with rabbit anti-DDC antibody at a dilution of 0.5 ug/ml and probed with a goat anti-rabbit IgG-HRP secondary antibody. The signal is developed using ECL Plus Western Blotting Substrate. The expected molecular weight of DDC is ~54 kDa.
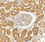
Immunohistochemical staining of DDC using anti-DDC antibody. DDC was detected in a paraffin-embedded section of human kidney tissue. Heat mediated antigen retrieval was performed in EDTA buffer (pH 8.0, epitope retrieval solution). The tissue section was blocked with 10% goat serum. The tissue section was then incubated with 2 ug/ml rabbit anti-DDC antibody overnight at 4oC. Peroxidase Conjugated Goat Anti-rabbit IgG was used as secondary antibody and incubated for 30 minutes at 37oC. The tissue section was developed using an HRP secondary and DAB substrate.
Availability 1-2 days
Species Reactivity Human, Mouse, Rat
Format Lyophilized
Clonality Polyclonal (rabbit origin)
Isotype Rabbit IgG
Purity Immunogen affinity purified
Buffer Each vial contains 4 mg Trehalose, 0.9 mg NaCl, 0.2 mg Na2HPO4.
UniProt P20711
Applications Western Blot : 0.25-0.5ug/ml
Immunohistochemistry : 2-5ug/ml
Immunoprecipitation : 2-4ug/500ug of lysate
Flow Cytometry : 1-3ug/million cells
Limitations This DDC antibody is available for research use only.
Review this product on BioCompare and get a $20 Amazon gift card

Related Products

Description

DDC antibody detects Aromatic-L-amino-acid decarboxylase, encoded by the DDC gene on chromosome 7p12.2. DDC antibody is widely used in neuroscience, metabolism, and clinical disorder research. DDC, also known as DOPA decarboxylase, catalyzes the decarboxylation of L-DOPA to dopamine and 5-hydroxytryptophan to serotonin, two critical neurotransmitters. By driving these biosynthetic steps, DDC plays a central role in catecholamine and serotonin metabolism, influencing behavior, cognition, and autonomic function.

Structurally, DDC is a ~53 kDa pyridoxal phosphate-dependent enzyme that functions as a homodimer. It contains a conserved active site lysine that forms a Schiff base with pyridoxal phosphate, essential for decarboxylation. The enzyme is localized to cytoplasm in neurons, endocrine cells, and peripheral tissues where neurotransmitter precursors are available.

Functionally, DDC is indispensable for synthesis of dopamine, norepinephrine, epinephrine, and serotonin. Its activity links amino acid metabolism with neurotransmission and hormone regulation. In the brain, DDC activity influences motor control, mood, and cognition. In peripheral tissues, it contributes to endocrine signaling and metabolic control. Researchers use DDC antibody to study neurotransmitter biosynthesis, psychiatric disease, and neurodegeneration.

Clinically, mutations in DDC cause aromatic L-amino acid decarboxylase deficiency, a rare metabolic disorder characterized by developmental delay, hypotonia, movement abnormalities, and autonomic dysfunction. DDC activity is also relevant in Parkinson's disease, where it influences dopamine availability and responsiveness to L-DOPA therapy. Dysregulated DDC expression has been linked to psychiatric disorders, endocrine diseases, and cancer. NSJ Bioreagents provides DDC antibody for neuroscience, metabolism, and clinical disorder research.

Experimentally, DDC antibody is applied in western blotting to detect the ~53 kDa enzyme, in immunohistochemistry to study expression in brain and endocrine tissues, and in immunofluorescence to localize cytoplasmic protein. Enzyme assays paired with DDC antibody confirm catalytic function in cell and tissue extracts.

Application Notes

Optimal dilution of the DDC antibody should be determined by the researcher.

Immunogen

A synthetic peptide corresponding to a sequence at the C-terminus of human DOPA decarboxylase/DDC was used as the immunogen for the DDC antibody.

Storage

After reconstitution, the DDC antibody can be stored for up to one month at 4oC. For long-term, aliquot and store at -20oC. Avoid repeated freezing and thawing.

Cross
Bulk Quote Request Form
Name*:
Organization*:
Email*:
Phone Number*:
Catalog No.*:
Comments and Specifics(amount, formulation, etc.)*:
Validation code: Captchapackage Image


Can't read the image? click here to refresh.
    *required field

Your bulk quote request has been submitted successfully!

Please contact us if you have any questions.