• Tel: 858.663.9055
  • SeparatorEmail: info@nsjbio.com
  • Tel: 858.663.9055
  • Email: info@nsjbio.com
Home >> Antibodies >> DDAH2 Antibody

DDAH2 Antibody (R32438)

  Catalog No Formulation Size Price (USD)  
Image R32438 0.5mg/ml if reconstituted with 0.2ml sterile DI water 100 ug 439
Bulk quote request
Immunofluorescent staining of FFPE human U-2 OS cells with DDAH2 antibody (red) and DAPI nuclear stain (blue). HIER: steam section in pH6 citrate buffer for 20 min.
IHC testing of FFPE human lung cancer tissue with DDAH2 antibody at 1ug/ml. HIER: steam in pH6 citrate buffer and allow to cool prior to staining.
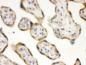
IHC testing of FFPE human placenta with DDAH2 antibody at 1ug/ml. HIER: steam in pH6 citrate buffer and allow to cool prior to staining.
Flow cytometry testing of human Caco-2 cells with DDAH2 antibody at 1ug/million cells (blocked with goat sera); Red=cells alone, Green=isotype control, Blue= DDAH2 antibody.
Western blot testing of 1) rat lung, 2) mouse lung and 3) human placenta lysate with DDAH2 antibody at 0.5ug/ml. Expected molecular weight ~29 kDa.
Availability 1-3 business days
Species Reactivity Human, Mouse, Rat
Format Antigen affinity purified
Clonality Polyclonal (rabbit origin)
Isotype Rabbit IgG
Purity Antigen affinity
Buffer Lyophilized from 1X PBS with 2.5% BSA and 0.025% sodium azide
UniProt O95865
Localization Cytoplasmic, membranous
Applications Western Blot : 0.5-1ug/ml
Immunohistochemistry (FFPE) : 1-2ug/ml
Immunofluorescence (FFPE) : 2-4ug/ml
Flow Cytometry : 1-3ug/million cells
Limitations This DDAH2 antibody is available for research use only.
Review this product on BioCompare and get a $20 Amazon gift card

Related Products

  • Applications : WB
    Reactivity : Human
    Rab Mono Image
  • Applications : WB, ELISA (peptide)
    Reactivity : Human, Mouse
    Pred. Reactivity : Cow, Dog, Rat

Description

DDAH2 is known as dimethylarginine dimethylaminohydrolase 2 which is mapped to 6p21.3 by radiation hybrid and FISH analysis. This gene encodes a dimethylarginine dimethylaminohydrolase. DDAH2 functions in nitric oxide generation by regulating the cellular concentrations of methylarginines, which in turn inhibit nitric oxide synthase activity. The protein may be localized to the mitochondria. Alternative splicing resulting in multiple transcript variants.

Application Notes

Optimal dilution of the DDAH2 antibody should be determined by the researcher.

Immunogen

Amino acids DAAQKAVRAMAVLTDHPYASLTLPDDAAADCLFLR were used as the immunogen for the DDAH2 antibody.

Storage

Prior to reconstitution, store at 4oC. After reconstitution, the DDAH2 antibody can be stored for up to one month at 4oC. For long-term, aliquot and store at -20oC. Avoid repeated freezing and thawing.

Cross
Bulk Quote Request Form
Name*:
Organization*:
Email*:
Phone Number*:
Catalog No.*:
Comments and Specifics(amount, formulation, etc.)*:
Validation code: Captchapackage Image


Can't read the image? click here to refresh.
    *required field

Your bulk quote request has been submitted successfully!

Please contact us if you have any questions.