• Tel: 858.663.9055
  • SeparatorEmail: info@nsjbio.com
  • Tel: 858.663.9055
  • Email: info@nsjbio.com
Home >> Antibodies >> DDAH2 Antibody

DDAH2 Antibody [clone AEGG-4] (RQ4818)

  Catalog No Formulation Size Price (USD)  
Image RQ4818 Antibody in PBS with 0.02% sodium azide, 50% glycerol and 0.4-0.5mg/ml BSA 100 ul 439
Microvalidated Rab Mono Image
Bulk quote request
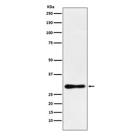
Western blot testing of human MCF7 cell lysate with DDAH2 antibody. Predicted molecular weight ~29 kDa.
Availability 1-2 weeks
Species Reactivity Human
Format Purified
Clonality Rabbit Monoclonal
Isotype Rabbit IgG
Clone Name AEGG-4
Purity Affinity purified
UniProt O95865
Applications Western Blot : 1:500-1:2000
Limitations This DDAH2 antibody is available for research use only.
Review this product on BioCompare and get a $20 Amazon gift card

Related Products

  • Applications : WB, ELISA (peptide)
    Reactivity : Human, Mouse
    Pred. Reactivity : Cow, Dog, Rat
  • Applications : WB, IHC-P, IF, FACS
    Reactivity : Human, Mouse, Rat

Description

'N(G),N(G)-dimethylarginine dimethylaminohydrolase 2' hydrolyzes N (G),N (G) -dimethyl-L-arginine (ADMA) and N (G) -monomethyl-L-arginine (MMA) which act as inhibitors of NOS. Has therefore a role in the regulation of nitric oxide generation. [UniProt]

Application Notes

Optimal dilution of the DDAH2 antibody should be determined by the researcher.

Immunogen

A synthetic peptide specific to human DDAH2 was used as the immunogen for the DDAH2 antibody.

Storage

Store the DDAH2 antibody at -20oC.

Cross
Bulk Quote Request Form
Name*:
Organization*:
Email*:
Phone Number*:
Catalog No.*:
Comments and Specifics(amount, formulation, etc.)*:
Validation code: Captchapackage Image


Can't read the image? click here to refresh.
    *required field

Your bulk quote request has been submitted successfully!

Please contact us if you have any questions.