• Tel: 858.663.9055
  • SeparatorEmail: info@nsjbio.com
  • Tel: 858.663.9055
  • Email: info@nsjbio.com
Home >> Antibodies >> DCX Antibody

DCX Antibody (F48191)

  Catalog No Formulation Size Price (USD)  
Image F48191-0.4ML In 1X PBS, pH 7.4, with 0.09% sodium azide 0.4 ml 429
Image
F48191-0.08ML In 1X PBS, pH 7.4, with 0.09% sodium azide 0.08 ml 199
Bulk quote request
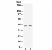
Western blot analysis of human brain tissue lysate using DCX antibody at 1:1000. Predicted molecular weight: 40-50 kDa.
IHC analysis of FFPE human skeletal muscle tissue stained with DCX antibody
Availability 1-3 business days
Species Reactivity Human
Predicted Reactivity Mouse, Rat
Format Antigen affinity purified
Clonality Polyclonal (rabbit origin)
Isotype Rabbit Ig
Purity Antigen affinity
UniProt O43602
Localization Cytoplasmic
Applications Western Blot : 1:1000
IHC (Paraffin) : 1:10-1:50
Limitations This DCX antibody is available for research use only.
Review this product on BioCompare and get a $20 Amazon gift card

Related Products

Description

In the developing cortex, cortical neurons must migrate over long distances to reach the site of their final differentiation. DCX is a cytoplasmic protein which appears to direct neuronal migration by regulating the organization and stability of microtubules. It contains two doublecortin domains, which bind microtubules. In addition, this protein interacts with LIS1, the regulatory gamma subunit of platelet activating factor acetylhydrolase, and this interaction is important to proper microtubule function in the developing cortex. Mutations in the gene encoding DCX are a cause of X-linked lissencephaly.

Application Notes

Titration of the DCX antibody may be required due to differences in protocols and secondary/substrate sensitivity.

Immunogen

A portion of amino acids 107-137 from the human protein was used as the immunogen for this DCX antibody.

Storage

Aliquot the DCX antibody and store frozen at -20oC or colder. Avoid repeated freeze-thaw cycles.

Cross
Bulk Quote Request Form
Name*:
Organization*:
Email*:
Phone Number*:
Catalog No.*:
Comments and Specifics(amount, formulation, etc.)*:
Validation code: Captchapackage Image


Can't read the image? click here to refresh.
    *required field

Your bulk quote request has been submitted successfully!

Please contact us if you have any questions.