• Tel: 858.663.9055
  • SeparatorEmail: info@nsjbio.com
  • Tel: 858.663.9055
  • Email: info@nsjbio.com
Home >> Antibodies >> DCTPP1 Antibody / dCTP pyrophosphatase 1 / XTP3TPA

DCTPP1 Antibody / dCTP pyrophosphatase 1 / XTP3TPA (FY12805)

  Catalog No Formulation Size Price (USD)  
Image FY12805 Adding 0.2 ml of distilled water will yield a concentration of 500 ug/ml 100 ug 439
Bulk quote request
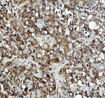
Immunohistochemical staining of DCTPP1 using anti-DCTPP1 antibody. DCTPP1 was detected in a paraffin-embedded section of human liver cancer tissue. Heat mediated antigen retrieval was performed in EDTA buffer (pH 8.0, epitope retrieval solution). The tissue section was blocked with 10% goat serum. The tissue section was then incubated with 2 ug/ml rabbit anti-DCTPP1 antibody overnight at 4oC. Peroxidase Conjugated Goat Anti-rabbit IgG was used as secondary antibody and incubated for 30 minutes at 37oC. The tissue section was developed using an HRP secondary and DAB substrate.
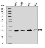
Western blot analysis of DCTPP1 using anti-DCTPP1 antibody. Lane 1: human HepG2 whole cell lysates, Lane 2: human Jurkat whole cell lysates, Lane 3: human K562 whole cell lysates, Lane 4: human PC-3 whole cell lysates. After electrophoresis, proteins were transferred to a nitrocellulose membrane at 150 mA for 50-90 minutes. Blocked the membrane with 5% non-fat milk/TBS for 1.5 hour at RT. The membrane was incubated with rabbit anti-DCTPP1 antibody at 0.5 ug/ml overnight at 4oC, then washed with TBS-0.1%Tween 3 times with 5 minutes each and probed with a goat anti-rabbit IgG-HRP secondary antibody at a dilution of 1:5000 for 1.5 hour at RT. The signal was developed using enhanced chemiluminescent. A specific band was detected for DCTPP1 at approximately 19 kDa. The expected molecular weight of DCTPP1 is ~19 kDa.
Flow Cytometry analysis of human JK cells using anti-DCTPP1 antibody. Overlay histogram showing JK cells stained with (Blue line). To facilitate intracellular staining, cells were fixed with 4% paraformaldehyde and permeabilized with permeabilization buffer. The cells were blocked with 10% normal goat serum. And then incubated with rabbit anti-DCTPP1 antibody (1 ug/million cells) for 30 min at 20oC. DyLight 488 conjugated goat anti-rabbit IgG (5-10 ug/million cells) was used as secondary antibody for 30 minutes at 20oC. Isotype control antibody (Green line) was rabbit IgG (1 ug/million cells) used under the same conditions. Unlabelled sample without incubation with primary antibody and secondary antibody (Red line) was used as a blank control.
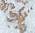
Immunohistochemical staining of DCTPP1 using anti-DCTPP1 antibody. DCTPP1 was detected in a paraffin-embedded section of human breast cancer tissue. Heat mediated antigen retrieval was performed in EDTA buffer (pH 8.0, epitope retrieval solution). The tissue section was blocked with 10% goat serum. The tissue section was then incubated with 2 ug/ml rabbit anti-DCTPP1 antibody overnight at 4oC. Peroxidase Conjugated Goat Anti-rabbit IgG was used as secondary antibody and incubated for 30 minutes at 37oC. The tissue section was developed using an HRP secondary and DAB substrate.
Immunohistochemical staining of DCTPP1 using anti-DCTPP1 antibody. DCTPP1 was detected in a paraffin-embedded section of mouse colon tissue. Heat mediated antigen retrieval was performed in EDTA buffer (pH 8.0, epitope retrieval solution). The tissue section was blocked with 10% goat serum. The tissue section was then incubated with 2 ug/ml rabbit anti-DCTPP1 antibody overnight at 4oC. Peroxidase Conjugated Goat Anti-rabbit IgG was used as secondary antibody and incubated for 30 minutes at 37oC. The tissue section was developed using an HRP secondary and DAB substrate.
Availability 1-2 days
Species Reactivity Human, Mouse
Format Lyophilized
Clonality Polyclonal (rabbit origin)
Isotype Rabbit IgG
Purity Immunogen affinity purified
Buffer Each vial contains 4 mg Trehalose, 0.9 mg NaCl, 0.2 mg Na2HPO4.
UniProt Q9H773
Localization Cytoplasm, Nucleus
Applications ELISA : 0.1-0.5ug/ml
Flow Cytometry : 1-3ug/million cells
Immunohistochemistry : 2-5ug/ml
Western Blot : 0.25-0.5ug/ml
Limitations This DCTPP1 antibody is available for research use only.
Review this product on BioCompare and get a $20 Amazon gift card

Description

DCTPP1 antibody detects dCTP pyrophosphatase 1 (also known as XTP3TPA), a nucleotide pool sanitizing enzyme that prevents the incorporation of damaged or modified nucleotides into DNA. Encoded by the DCTPP1 gene on chromosome 16p13.3, this enzyme hydrolyzes dCTP and its oxidized derivatives to their monophosphate forms, maintaining genomic integrity by reducing mutagenic nucleotide incorporation. DCTPP1 plays an essential role in DNA replication fidelity, repair, and protection against oxidative stress-induced mutagenesis.

Located primarily in the nucleus and mitochondria, DCTPP1 acts as a homotetrameric hydrolase with substrate specificity for dCTP and 5-methyl-dCTP. By regulating the deoxynucleotide pool, it prevents mispairing and epigenetic instability caused by cytosine modifications. Its activity supports accurate DNA replication and limits the formation of base substitution mutations. DCTPP1 expression increases under oxidative stress and in proliferating cells to safeguard replication accuracy.

The DCTPP1 antibody is widely used in DNA metabolism, cancer, and oxidative stress research to investigate nucleotide sanitization, genome maintenance, and replication control. Western blot analysis detects a 21 kilodalton band corresponding to DCTPP1, while immunofluorescence reveals both nuclear and mitochondrial localization depending on cell type. This antibody enables researchers to explore DNA repair dynamics and nucleotide pool balance in diverse biological systems.

Loss or dysregulation of DCTPP1 is associated with increased mutation rates, mitochondrial dysfunction, and genomic instability. Elevated expression has been observed in rapidly dividing tumor cells, where it supports proliferation by maintaining balanced nucleotide pools. The DCTPP1 antibody provides a powerful tool for studying DNA replication accuracy, oxidative defense, and cancer cell metabolism. NSJ Bioreagents supplies this antibody validated for its applications, ensuring consistent detection in studies of genome integrity and nucleotide metabolism.

Application Notes

Optimal dilution of the DCTPP1 antibody should be determined by the researcher.

Immunogen

E.coli-derived human XTP3TPA/DCTPP1 recombinant protein (Position: R22-T170) was used as the immunogen for the DCTPP1 antibody.

Storage

After reconstitution, the DCTPP1 antibody can be stored for up to one month at 4oC. For long-term, aliquot and store at -20oC. Avoid repeated freezing and thawing.

Cross
Bulk Quote Request Form
Name*:
Organization*:
Email*:
Phone Number*:
Catalog No.*:
Comments and Specifics(amount, formulation, etc.)*:
Validation code: Captchapackage Image


Can't read the image? click here to refresh.
    *required field

Your bulk quote request has been submitted successfully!

Please contact us if you have any questions.