• Tel: 858.663.9055
  • SeparatorEmail: info@nsjbio.com
  • Tel: 858.663.9055
  • Email: info@nsjbio.com
Home >> Antibodies >> DCN1 Antibody

DCN1 Antibody (R35717)

  Catalog No Formulation Size Price (USD)  
Image R35717-100UG 0.5 mg/ml in 1X TBS, pH7.3, with 0.5% BSA (US sourced) and 0.02% sodium azide 100 ug 449
Bulk quote request
Western blot testing of HepG2 lysate with DCN1 antibody at 0.5ug/ml. Predicted molecular weight: ~30kDa.
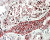
IHC staining of FFPE human kidney with DCN1 antibody at 5ug/ml. HIER: steamed with pH6 citrate buffer, AP-staining.
Availability 1-3 business days
Species Reactivity Human
Predicted Reactivity Cow, Mouse
Format Antigen affinity purified
Clonality Polyclonal (goat origin)
Isotype Goat Ig
Purity Antigen affinity
Gene ID 54165
Applications Western Blot : 0.3-1ug/ml
Immunohistochemistry (FFPE) : 5-10ug/ml
ELISA (peptide) LOD : 1:16000
Limitations This DCN1 antibody is available for research use only.
Review this product on BioCompare and get a $20 Amazon gift card

Description

Additional name(s) for this target protein: Defective in cullin neddylation 1, domain containing 1; DCUN1D1

Application Notes

Optimal dilution of the DCN1 antibody should be determined by the researcher.

Immunogen

Amino acids RPQIAGTKSTT were used as the immunogen for this DCN1 antibody.

Storage

Aliquot and store the DCN1 antibody at -20oC.

Cross
Bulk Quote Request Form
Name*:
Organization*:
Email*:
Phone Number*:
Catalog No.*:
Comments and Specifics(amount, formulation, etc.)*:
Validation code: Captchapackage Image


Can't read the image? click here to refresh.
    *required field

Your bulk quote request has been submitted successfully!

Please contact us if you have any questions.