• Tel: 858.663.9055
  • SeparatorEmail: info@nsjbio.com
  • Tel: 858.663.9055
  • Email: info@nsjbio.com
Home >> Antibodies >> DCN Antibody / Decorin

DCN Antibody / Decorin [clone DCN/7031R] (V9487)

  Catalog No Formulation Size Price (USD)  
Image V9487-100UG 0.2 mg/ml in 1X PBS with 0.1 mg/ml BSA (US sourced), 0.05% sodium azide 100 ug 539
Image
V9487-20UG 0.2 mg/ml in 1X PBS with 0.1 mg/ml BSA (US sourced), 0.05% sodium azide 20 ug 249
Image
V9487SAF-100UG 1 mg/ml in 1X PBS; BSA free, sodium azide free 100 ug 539
Microvalidated Recrabbitmono
Bulk quote request
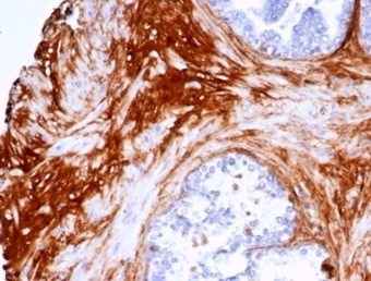
IHC staining of FFPE human prostate carcinoma tissue with DCN antibody (clone DCN/7031R). HIER: boil tissue sections in pH 9 10mM Tris with 1mM EDTA for 20 min and allow to cool before testing.
SDS-PAGE analysis of purified, BSA-free DCN antibody (clone DCN/7031R) as confirmation of integrity and purity.
Availability 1-3 business days
Species Reactivity Human
Format Purified
Clonality Recombinant Rabbit Monoclonal
Isotype Rabbit IgG
Clone Name DCN/7031R
Purity Protein A/G affinity
UniProt P07585
Localization Secreted
Applications Immunohistochemistry (FFPE) : 1-2ug/ml
Limitations This DCN antibody is available for research use only.
Review this product on BioCompare and get a $20 Amazon gift card

Related Products

Description

Decorin is a small leucine-rich proteoglycan (SLRP) family member that consists of a glycosaminoglycan chain-containing core protein. The core protein contains ten leucine rich repeats that contain sites for glycosylation, flanked by disulfide bond stabilizing loops. Decorin binds to Collagen Type I, II and IV in vivo and promotes the formation of fibers with variations in stability and solubility. The Decorin core protein binds to growth factors, intercellular matrix molecules, such as Fibronectin and Thrombospondin, and to the Decorin endocytosis receptor. Decorin binds to and inhibits TGF may contribute to cartilage destruction that is characteristic of inflammatory joint diseases. For immunostaining, pre-incubation with chondroitinase-SBC or testicular hyaluronidase may be required to expose the epitope.

Application Notes

Optimal dilution of the DCN antibody should be determined by the researcher.

Immunogen

A portion of amino acids 212-336 was used as the immunogen for the DCN antibody.

Storage

Aliquot the DCN antibody and store frozen at -20oC or colder. Avoid repeated freeze-thaw cycles.

Cross
Bulk Quote Request Form
Name*:
Organization*:
Email*:
Phone Number*:
Catalog No.*:
Comments and Specifics(amount, formulation, etc.)*:
Validation code: Captchapackage Image


Can't read the image? click here to refresh.
    *required field

Your bulk quote request has been submitted successfully!

Please contact us if you have any questions.