• Tel: 858.663.9055
  • SeparatorEmail: info@nsjbio.com
  • Tel: 858.663.9055
  • Email: info@nsjbio.com
Home >> Antibodies >> DCC Antibody

DCC Antibody (R31010)

  Catalog No Formulation Size Price (USD)  
Image R31010 0.5mg/ml if reconstituted with 0.2ml sterile DI water 100 ug 439
Bulk quote request
Western blot testing of DCC antibody and Lane 1: rat brain; 2: mouse brain; and human samples 3: U87; 4: SW620; 5: COLO320; 6: 293T; 7: HeLa cell lysate. Expected molecular weight: 155~190 kDa depending on glycosylation level.
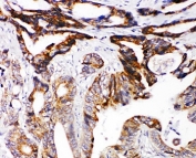
IHC-P: DCC antibody testing of human intestinal cancer tissue.
Availability 1-3 business days
Species Reactivity Human, Mouse, Rat
Format Antigen affinity purified
Clonality Polyclonal (rabbit origin)
Isotype Rabbit IgG
Purity Antigen affinity
Buffer Lyophilized from 1X PBS with 2.5% BSA and 0.025% sodium azide/thimerosal
UniProt P43146
Applications Western Blot : 0.5-1ug/ml
IHC (FFPE) : 0.5-1ug/ml
Limitations This DCC antibody is available for research use only.
Review this product on BioCompare and get a $20 Amazon gift card

Related Products

Description

Deleted in Colorectal Carcinoma is also known as CRC18 or CRCR1. The gene encodes a functional receptor for netrin and mediates axon outgrowth and the steering response. Heterozygous loss-of-function mutations in the gene can result in congenital mirror movements. Alterations in DCC occur frequently in colorectal cancer. Studying a YAC contig containing the entire DCC coding region, they showed that the gene spans approximately 1.4 Mb. Vogelstein(1995) stated that the precise location of the gene was thought to be 18q21.3. DCC is a receptor or a component of a receptor that mediates the effects of netrin-1 on commissural axons, and they complement genetic evidence for interactions between DCC and netrin homologs in C. The protein can be detected in varying abundance in all specimens of normal colonic mucosa analyzed as well as in all specimens of adenomatous polyps, colorectal carcinoma and colorectal liver metastases. It may function as a tumor-suppressor protein by inducing apoptosis in settings in which ligand is unavailable (for example, during metastasis or tumor growth beyond local blood supply) through functional caspase cascades by a mechanism that requires cleavage of DCC at asp1290. Stein et al.(2001) concluded that it plays a central role in netrin signaling of axon growth and guidance independent of A2B receptor activation.

Application Notes

The stated application concentrations are suggested starting amounts. Titration of the DCC antibody may be required due to differences in protocols and secondary/substrate sensitivity.

Immunogen

Amino acids 162-178 (EVIGEPMPTIHWQKNQQ-human) were used as the immunogen for this DCC antibody (100% mouse homology).

Storage

After reconstitution, the DCC antibody can be stored for up to one month at 4oC. For long-term, aliquot and store at -20oC. Avoid repeated freezing and thawing.

Cross
Bulk Quote Request Form
Name*:
Organization*:
Email*:
Phone Number*:
Catalog No.*:
Comments and Specifics(amount, formulation, etc.)*:
Validation code: Captchapackage Image


Can't read the image? click here to refresh.
    *required field

Your bulk quote request has been submitted successfully!

Please contact us if you have any questions.