• Tel: 858.663.9055
  • SeparatorEmail: info@nsjbio.com
  • Tel: 858.663.9055
  • Email: info@nsjbio.com
Home >> Antibodies >> Daxx Antibody

Daxx Antibody (R32346)

  Catalog No Formulation Size Price (USD)  
Image R32346 0.5mg/ml if reconstituted with 0.2ml sterile DI water 100 ug 439
Bulk quote request
Flow cytometry testing of human 293T cells with Daxx antibody at 1ug/million cells (blocked with goat sera); Red=cells alone, Green=isotype control, Blue= Daxx antibody.
IHC testing of FFPE human intestinal cancer tissue with Daxx antibody. HIER: Boil the paraffin sections in pH 6, 10mM citrate buffer for 20 minutes and allow to cool prior to staining.
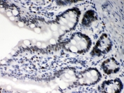
IHC testing of FFPE rat intestine with Daxx antibody. HIER: Boil the paraffin sections in pH 6, 10mM citrate buffer for 20 minutes and allow to cool prior to staining.
ICC testing of human SMMC-7721 cells with Daxx antibody.
ICC testing of human A549 cells with Daxx antibody.
Immunofluorescent staining of FFPE human U-2 OS cells with Daxx antibody (green) and DAPI nuclear stain (blue). HIER: steam section in pH6 citrate buffer for 20 min.
Western blot testing of 1) human K562, 2) rat PC-12 and 3) mouse thymus lysate with Daxx antibody. Predicted molecular weight ~81 kDa but routinely observed at ~120 kDa, the slow SDS-PAGE migration possibly due to the proteins high acidic residue content.
Availability 1-3 business days
Species Reactivity Human, Mouse, Rat
Format Antigen affinity purified
Clonality Polyclonal (rabbit origin)
Isotype Rabbit IgG
Purity Antigen affinity
Buffer Lyophilized from 1X PBS with 2.5% BSA and 0.025% sodium azide
UniProt Q9UER7
Localization Nuclear and cytoplasmic
Applications Western Blot : 0.1-0.5ug/ml
Immunocytochemistry : 0.5-1ug/ml
Immunohistochemistry (FFPE) : 0.5-1ug/ml
Immunofluorescence (FFPE) : 2-4ug/ml
Flow Cytometry : 1-3ug/million cells
Limitations This Daxx antibody is available for research use only.
Review this product on BioCompare and get a $20 Amazon gift card

Related Products

Description

DAXX (death-domain associated protein) also known as DAP6 (Death-associated protein 6) or BING2, was first discovered through its cytoplasmic interaction with the classical death receptor Fas. Human DAXX encodes a 740-amino acid polypeptide containing a nuclear localization signal. Functional analyses by Yang et al. (1997) demonstrated that Daxx binds to the Fas death domain and enhances Fas-mediated apoptosis. The authors suggested that DAXX and FADD define 2 distinct apoptotic pathways downstream of Fas. The DAXX gene is mapped to human chromosome 6p21.3 by somatic cell hybrid panels and fluorescence in situ hybridization, a region containing the HLA and putative autoimmune disease genes. MSP58 overexpression relieved DAXX-mediated transcriptional repression. Immunoprecipitation and Western blot analysis with DAXX mutants showed that the N terminus of DAXX interacts with the C terminus of DMAP. Transient expression of DAXX or DMAP1 caused repression of glucocorticoid receptor-mediated transcription.

Application Notes

Optimal dilution of the Daxx antibody should be determined by the researcher.

Immunogen

Amino acids 56-345 of human Daxx were used as the immunogen for the Daxx antibody.

Storage

After reconstitution, the Daxx antibody can be stored for up to one month at 4oC. For long-term, aliquot and store at -20oC. Avoid repeated freezing and thawing.

Cross
Bulk Quote Request Form
Name*:
Organization*:
Email*:
Phone Number*:
Catalog No.*:
Comments and Specifics(amount, formulation, etc.)*:
Validation code: Captchapackage Image


Can't read the image? click here to refresh.
    *required field

Your bulk quote request has been submitted successfully!

Please contact us if you have any questions.