• Tel: 858.663.9055
  • SeparatorEmail: info@nsjbio.com
  • Tel: 858.663.9055
  • Email: info@nsjbio.com
Home >> Antibodies >> Daxx Antibody

Daxx Antibody [clone PCRP-DAXX-8C2] (V8935)

  Catalog No Formulation Size Price (USD)  
Image V8935-100UG 0.2 mg/ml in 1X PBS with 0.1 mg/ml BSA (US sourced), 0.05% sodium azide 100 ug 539
Image
V8935-20UG 0.2 mg/ml in 1X PBS with 0.1 mg/ml BSA (US sourced), 0.05% sodium azide 20 ug 249
Image
V8935SAF-100UG 1 mg/ml in 1X PBS; BSA free, sodium azide free 100 ug 539
Bulk quote request
Immunofluorescent staining of PFA-fixed human HeLa cells using Daxx antibody (green, clone PCRP-DAXX-8C2).
FACS staining of PFA-fixed human HeLa cells with Daxx antibody (blue, clone PCRP-DAXX-8C2), and unstained cells (red).
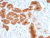
IHC staining of FFPE human kidney tissue with Daxx antibody (clone PCRP-DAXX-8C2). HIER: boil tissue sections in pH 9 10mM Tris with 1mM EDTA for 20 min and allow to cool before testing.
SDS-PAGE analysis of purified, BSA-free Daxx antibody (clone PCRP-DAXX-8C2) as confirmation of integrity and purity.
Availability 1-3 business days
Species Reactivity Human
Format Purified
Clonality Monoclonal (mouse origin)
Isotype Mouse IgG
Clone Name PCRP-DAXX-8C2
Purity Protein A/G affinity
UniProt Q9UER7
Localization Nucleus, Cytoplasm
Applications Flow Cytometry : 1-2ug/million cells
Immunofluorescence : 1-2ug/ml
Immunohistochemistry (FFPE) : 1-2ug/ml
Limitations This Daxx antibody is available for research use only.
Review this product on BioCompare and get a $20 Amazon gift card

Related Products

Description

Daxx, or Death domain-associated protein 6, is a transcription corepressor known to repress transcriptional potential of several sumoylated transcription factors. [UniProt]

Application Notes

Optimal dilution of the Daxx antibody should be determined by the researcher.

Immunogen

Recombinant full-length human Death domain-associated protein 6 protein was used as the immunogen for the Daxx antibody.

Storage

Aliquot the Daxx antibody and store frozen at -20oC or colder. Avoid repeated freeze-thaw cycles.

Cross
Bulk Quote Request Form
Name*:
Organization*:
Email*:
Phone Number*:
Catalog No.*:
Comments and Specifics(amount, formulation, etc.)*:
Validation code: Captchapackage Image


Can't read the image? click here to refresh.
    *required field

Your bulk quote request has been submitted successfully!

Please contact us if you have any questions.