• Tel: 858.663.9055
  • SeparatorEmail: info@nsjbio.com
  • Tel: 858.663.9055
  • Email: info@nsjbio.com
Home >> Antibodies >> Daxx Antibody / Death-associated protein 6

Daxx Antibody / Death-associated protein 6 (R30907)

  Catalog No Formulation Size Price (USD)  
Image R30907 0.5mg/ml if reconstituted with 0.2ml sterile DI water 100 ug 439
Bulk quote request
Immunofluorescent staining of FFPE human U-2 OS cells with Daxx antibody (green) and Beta Tubulin mAb (red). HIER: steam section in pH6 citrate buffer for 20 min.
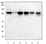
Western blot testing of 1) human HeLa, 2) human Ramos, 3) human MCF7, 4) human Jurkat, 5) rat testis and mouse testis tissue lysate with Daxx antibody. Predicted molecular weight ~81 kDa but routinely observed at ~120 kDa, the slow SDS-PAGE migration possibly due to the proteins high acidic residue content.
Availability 1-3 business days
Species Reactivity Human, Mouse, Rat
Format Antigen affinity purified
Clonality Polyclonal (rabbit origin)
Isotype Rabbit IgG
Purity Antigen affinity
Buffer Lyophilized from 1X PBS with 2% Trehalose
UniProt Q9UER7
Localization Nuclear, cytoplasmic
Applications Western Blot : 0.5-1ug/ml
Immunofluorescence (FFPE) : 5ug/ml
Limitations This Daxx antibody is available for research use only.
Review this product on BioCompare and get a $20 Amazon gift card

Related Products

Description

Death-domain associated protein, also known as DAP6 (Death-associated protein 6), Daxx and BING2, was first discovered through its cytoplasmic interaction with the classical death receptor Fas. The gene encodes a 740-amino acid polypeptide containing a nuclear localization signal. Functional analyses by Yang et al.(1997) demonstrated that Daxx binds to the Fas death domain and enhances Fas-mediated apoptosis. The authors suggested that DAXX and FADD define 2 distinct apoptotic pathways downstream of Fas. The gene is mapped to human chromosome 6p21.3 by somatic cell hybrid panels and fluorescence in situ hybridization, a region containing the HLA and putative autoimmune disease genes. MSP58 overexpression relieved DAXX-mediated transcriptional repression. Immunoprecipitation and Western blot analysis with DAXX mutants showed that the N terminus of the protein interacts with the C terminus of DMAP. Transient expression of DAXX or DMAP1 caused repression of glucocorticoid receptor-mediated transcription.

Application Notes

The stated application concentrations are suggested starting amounts. Titration of the Daxx antibody may be required due to differences in protocols and secondary/substrate sensitivity.

Immunogen

Amino acids 325-341 (QERRHLDLIYNFGCHLT) were used as the immunogen for this Daxx antibody (100% homologous in human, mouse and rat).

Storage

After reconstitution, the Daxx antibody can be stored for up to one month at 4oC. For long-term, aliquot and store at -20oC. Avoid repeated freezing and thawing.

Cross
Bulk Quote Request Form
Name*:
Organization*:
Email*:
Phone Number*:
Catalog No.*:
Comments and Specifics(amount, formulation, etc.)*:
Validation code: Captchapackage Image


Can't read the image? click here to refresh.
    *required field

Your bulk quote request has been submitted successfully!

Please contact us if you have any questions.