• Tel: 858.663.9055
  • SeparatorEmail: info@nsjbio.com
  • Tel: 858.663.9055
  • Email: info@nsjbio.com
Home >> Antibodies >> DARS2 Antibody

DARS2 Antibody (RQ4930)

  Catalog No Formulation Size Price (USD)  
Image RQ4930 0.5mg/ml if reconstituted with 0.2ml sterile DI water 100 ug 439
Bulk quote request
Western blot testing of human 1) A431, 2) K562, 3) A549, 4) PC-3, 5) U-2 OS, 6) Caco-2 and 7) HEK293 lysate with DARS2 antibody at 0.5ug/ml. Predicted molecular weight ~74 kDa.
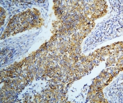
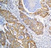
IHC staining of FFPE human lung cancer with DARS2 antibody at 1ug/ml. HIER: boil tissue sections in pH6, 10mM citrate buffer, for 10-20 min and allow to cool before testing.
IHC staining of FFPE human intestinal cancer with DARS2 antibody at 1ug/ml. HIER: boil tissue sections in pH6, 10mM citrate buffer, for 10-20 min and allow to cool before testing.
IHC staining of FFPE human breast cancer with DARS2 antibody at 1ug/ml. HIER: boil tissue sections in pH6, 10mM citrate buffer, for 10-20 min and allow to cool before testing.
Immunofluorescent staining of FFPE human A431 cells with DARS2 antibody (red) at 2ug/ml and DAPI nuclear stain (blue). HIER: steam section in pH6 citrate buffer for 20 min.
Immunofluorescent staining of FFPE human U-2 OS cells with DARS2 antibody (red) at 2ug/ml and DAPI nuclear stain (blue). HIER: steam section in pH6 citrate buffer for 20 min.
Flow cytometry testing of human K562 cells with DARS2 antibody at 1ug/million cells (blocked with goat sera); Red=cells alone, Green=isotype control, Blue= DARS2 antibody.
Availability 1-3 business days
Species Reactivity Human
Format Antigen affinity purified
Clonality Polyclonal (rabbit origin)
Isotype Rabbit IgG
Purity Antigen affinity purified
Buffer Lyophilized from 1X PBS with 2% Trehalose and 0.025% sodium azide
UniProt Q6PI48
Applications Western Blot : 0.5-1ug/ml
Immunohistochemistry (FFPE) : 1-2ug/ml
Immunofluorescence : 2-4ug/ml
Flow Cytometry : 1-3ug/million cells
Direct ELISA : 0.1-0.5ug/ml
Limitations This DARS2 antibody is available for research use only.
Review this product on BioCompare and get a $20 Amazon gift card

Description

DARS2 contains conserved residues involved in ATP binding, tRNA binding, and aspartic acid recognition, as well as catalytic site motifs characteristic of amino acid tRNA synthetases. The protein encoded by this gene belongs to the class-II aminoacyl-tRNA synthetase family. It is a mitochondrial enzyme that specifically aminoacylates aspartyl-tRNA. Mutations in this gene are associated with leukoencephalopathy with brainstem and spinal cord involvement and lactate elevation (LBSL). The International Radiation Hybrid Mapping Consortium mapped the DARS2 gene to chromosome 1.

Application Notes

Optimal dilution of the DARS2 antibody should be determined by the researcher.

Immunogen

Amino acids D334-A448 from the human protein were used as the immunogen for the DARS2 antibody.

Storage

After reconstitution, the DARS2 antibody can be stored for up to one month at 4oC. For long-term, aliquot and store at -20oC. Avoid repeated freezing and thawing.

Cross
Bulk Quote Request Form
Name*:
Organization*:
Email*:
Phone Number*:
Catalog No.*:
Comments and Specifics(amount, formulation, etc.)*:
Validation code: Captchapackage Image


Can't read the image? click here to refresh.
    *required field

Your bulk quote request has been submitted successfully!

Please contact us if you have any questions.