• Tel: 858.663.9055
  • SeparatorEmail: info@nsjbio.com
  • Tel: 858.663.9055
  • Email: info@nsjbio.com
Home >> Antibodies >> DARPP-32 Antibody

DARPP-32 Antibody (R32345)

  Catalog No Formulation Size Price (USD)  
Image R32345 0.5mg/ml if reconstituted with 0.2ml sterile DI water 100 ug 439
Bulk quote request
Western blot testing of 1) human Caco-2, 2) rat brain and 3) mouse brain tissue lysate with DARPP-32 antibody. Expected molecular weight ~32 kDa.
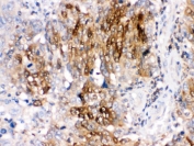
IHC testing of FFPE human lung cancer tissue with DARPP-32 antibody. HIER: Boil the paraffin sections in pH 6, 10mM citrate buffer for 20 minutes and allow to cool prior to staining.
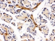
IHC testing of FFPE mouse pancreas with DARPP-32 antibody. HIER: Boil the paraffin sections in pH 6, 10mM citrate buffer for 20 minutes and allow to cool prior to staining.
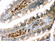
IHC testing of FFPE rat intestine with DARPP-32 antibody. HIER: Boil the paraffin sections in pH 6, 10mM citrate buffer for 20 minutes and allow to cool prior to staining.
Flow cytometry testing of human ThP-1 cells with DARPP-32 antibody at 1ug/million cells (blocked with goat sera); Red=cells alone, Green=isotype control, Blue= DARPP-32 antibody.
Flow cytometry testing of human PC-3 cells with DARPP-32 antibody at 1ug/million cells (blocked with goat sera); Red=cells alone, Green=isotype control, Blue= DARPP-32 antibody.
Availability 1-3 business days
Species Reactivity Human, Mouse, Rat
Format Antigen affinity purified
Clonality Polyclonal (rabbit origin)
Isotype Rabbit IgG
Purity Antigen affinity
Buffer Lyophilized from 1X PBS with 2.5% BSA and 0.025% sodium azide
UniProt Q9UD71
Localization Cytoplasmic, minor nuclear
Applications Western Blot : 0.1-0.5ug/ml
Immunohistochemistry (FFPE) : 0.5-1ug/ml
Flow Cytometry : 1-3ug/million cells
Limitations This DARPP-32 antibody is available for research use only.
Review this product on BioCompare and get a $20 Amazon gift card

Description

Protein phosphatase 1 regulatory subunit 1B (PPP1R1B), also known as dopamine- and cAMP-regulated neuronal phosphoprotein (DARPP-32), is a protein that in humans is encoded by the PPP1R1B gene. This gene encodes a bifunctional signal transduction molecule. Dopaminergic and glutamatergic receptor stimulation regulates its phosphorylation and function as a kinase or phosphatase inhibitor. As a target for dopamine, this gene may serve as a therapeutic target for neurologic and psychiatric disorders. Multiple transcript variants encoding different isoforms have been found for this gene.

Application Notes

Optimal dilution of the DARPP-32 antibody should be determined by the researcher.

Immunogen

Amino acids MDPKDRKKIQFSVPAPPSQLDPRQVEMIRRRRPTPA of human DARPP-32 were used as the immunogen for the DARPP-32 antibody.

Storage

After reconstitution, the DARPP-32 antibody can be stored for up to one month at 4oC. For long-term, aliquot and store at -20oC. Avoid repeated freezing and thawing.

Cross
Bulk Quote Request Form
Name*:
Organization*:
Email*:
Phone Number*:
Catalog No.*:
Comments and Specifics(amount, formulation, etc.)*:
Validation code: Captchapackage Image


Can't read the image? click here to refresh.
    *required field

Your bulk quote request has been submitted successfully!

Please contact us if you have any questions.