• Tel: 858.663.9055
  • SeparatorEmail: info@nsjbio.com
  • Tel: 858.663.9055
  • Email: info@nsjbio.com
Home >> Antibodies >> DAPK2 Antibody

DAPK2 Antibody (R34353)

  Catalog No Formulation Size Price (USD)  
Image R34353-100UG 0.5 mg/ml in 1X TBS, pH7.3, with 0.5% BSA (US sourced) and 0.02% sodium azide 100 ug 449
Bulk quote request
Western blot testing of mouse brain lysate with DAPK2 antibody at 2ug/ml. Predicted/observed molecular weight: ~43kDa.
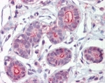
IHC staining of FFPE human breast with DAPK2 antibody at 2.5ug/ml. HIER: steamed with pH6 citrate buffer, AP-staining.
Availability 1-3 business days
Species Reactivity Human, Mouse
Predicted Reactivity Dog, Pig, Rat
Format Antigen affinity purified
Clonality Polyclonal (goat origin)
Isotype Goat Ig
Purity Antigen affinity
Gene ID 23604
Applications Western Blot : 2-6ug/ml
Immunohistochemistry (FFPE) : 2-4ug/ml
ELISA (peptide) LOD : 1:32000
Limitations This DAPK2 antibody is available for research use only.
Review this product on BioCompare and get a $20 Amazon gift card

Related Products

  • Applications : WB
    Reactivity : Human, Mouse, Rat
  • Applications : IHC-P, WB
    Reactivity : Human, Mouse

Description

Additional name(s) for this target protein: Death-associated protein kinase 2, DRP-1, DRP1

Application Notes

Optimal dilution of the DAPK2 antibody should be determined by the researcher.

Immunogen

Amino acids KALHPRRRSSTS were used as the immunogen for this DAPK2 antibody. This sequence is specific to the alpha isoform.

Storage

Aliquot and store the DAPK2 antibody at -20oC.

Cross
Bulk Quote Request Form
Name*:
Organization*:
Email*:
Phone Number*:
Catalog No.*:
Comments and Specifics(amount, formulation, etc.)*:
Validation code: Captchapackage Image


Can't read the image? click here to refresh.
    *required field

Your bulk quote request has been submitted successfully!

Please contact us if you have any questions.