• Tel: 858.663.9055
  • SeparatorEmail: info@nsjbio.com
  • Tel: 858.663.9055
  • Email: info@nsjbio.com
Home >> Antibodies >> Cytokeratin 8 Antibody

Cytokeratin 8 Antibody (R30341)

  Catalog No Formulation Size Price (USD)  
Image R30341 0.5mg/ml if reconstituted with 0.2ml sterile DI water 100 ug 439
Bulk quote request
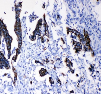
IHC staining of FFPE human intestinal cancer tissue with Cytokeratin 8 antibody. HIER: boil tissue sections in pH8 EDTA for 20 min and allow to cool before testing.
Western blot testing of 1) human MCF-7, 2) human Caco-2, 3) human HepG2, 4) human Jurkat, 5) rat RH35 and 6) mouse NIH 3T3 cell lysate with Cytokeratin 8 antibody. Predicted molecular weight ~54 kDa.
Flow cytometry testing of fixed and permeabilized human Caco-2 cells with Cytokeratin 8 antibody at 1ug/million cells (blocked with goat sera); Red=cells alone, Green=isotype control, Blue= Cytokeratin 8 antibody.
Availability 1-3 business days
Species Reactivity Human, Mouse, Rat
Format Antigen affinity purified
Clonality Polyclonal (rabbit origin)
Isotype Rabbit IgG
Purity Antigen affinity
Buffer Lyophilized from 1X PBS with 2% Trehalose and 0.025% sodium azide
UniProt P05787
Applications Western Blot : 0.5-1ug/ml
Immunohistochemistry (FFPE) : 2-5ug/ml
Flow Cytometry : 1-3ug/million cells
Limitations This Cytokeratin 8 antibody is available for research use only.
Review this product on BioCompare and get a $20 Amazon gift card

Related Products

Description

Cytokeratin 8 (CK8), also known as Keratin 8 (K8), is a type II keratin. Among the various intermediate filament (IF) proteins, cytokeratin 8 (CK8) is especially remarkable as it is produced early in embryogenesis, is the only type-II CK occurring in many simple epithelial cells, and can also be synthesized in certain non-epithelial cells. Cytokeratin 8 mRNA was abundant in fetal small intestine, placenta, pancreas, lung, liver, and kidney. Levels of cytokeratin 8 mRNA in placenta increased slightly during pregnancy. He et al.(2002) presented evidence that K8 is a new cytoplasmic target for JNK in Fas receptor-mediated signaling. The functional significance of this phosphorylation could relate to regulation of JNK signaling and/or regulation of keratin dynamics.

Application Notes

The stated application concentrations are suggested starting amounts. Titration of the Cytokeratin 8 antibody may be required due to differences in protocols and secondary/substrate sensitivity.

Immunogen

An amino acid sequence from the N-terminus of human Cytokeratin 8 (QQQKTARSNMDNMFESYIN) was used as the immunogen for this Cytokeratin 8 antibody.

Storage

After reconstitution, the Cytokeratin 8 antibody can be stored for up to one month at 4oC. For long-term, aliquot and store at -20oC. Avoid repeated freezing and thawing.

Cross
Bulk Quote Request Form
Name*:
Organization*:
Email*:
Phone Number*:
Catalog No.*:
Comments and Specifics(amount, formulation, etc.)*:
Validation code: Captchapackage Image


Can't read the image? click here to refresh.
    *required field

Your bulk quote request has been submitted successfully!

Please contact us if you have any questions.