• Tel: 858.663.9055
  • SeparatorEmail: info@nsjbio.com
  • Tel: 858.663.9055
  • Email: info@nsjbio.com
Home >> Antibodies >> Cytokeratin 7/17 Antibody

Cytokeratin 7/17 Antibody [clone C-46] (V8298)

  Catalog No Formulation Size Price (USD)  
Image V8298-100UG 0.2 mg/ml in 1X PBS with 0.1 mg/ml BSA (US sourced) and 0.05% sodium azide 100 ug 539
Image
V8298-20UG 0.2 mg/ml in 1X PBS with 0.1 mg/ml BSA (US sourced) and 0.05% sodium azide 20 ug 249
Image
V8298SAF-100UG 1 mg/ml in 1X PBS; BSA free, sodium azide free 100 ug 539
Bulk quote request
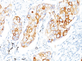
IHC staining of FFPE human lung small cell carcinoma with Cytokeratin 7/17 antibody (clone C-46). HIER: boil tissue sections in pH 9 10mM Tris with 1mM EDTA for 20 min and allow to cool before testing.
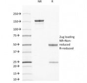
SDS-PAGE analysis of purified, BSA-free Cytokeratin 7/17 antibody (clone C-46) as confirmation of integrity and purity.
Availability 1-3 business days
Species Reactivity Human
Format Purified
Clonality Monoclonal (mouse origin)
Isotype Mouse IgG1, kappa
Clone Name C-46
Purity Protein G affinity chromatography
UniProt P08729 , Q04695
Localization Cytoplasmic
Applications Immunofluorescence : 1-2ug/ml
Western Blot : 1-2ug/ml (CK7 + CK17)
Immunohistochemistry (FFPE) : 1-2ug/ml (CK7)
Limitations This Cytokeratin 7/17 antibody is available for research use only.
Review this product on BioCompare and get a $20 Amazon gift card

Description

It recognizes intermediate filament proteins (IFP's) of 55kDa and 46kDa, which are identified as Cytokeratin 7 and Cytokeratin 17 respectively. On formalin-fixed, paraffin embedded sections, C-46 reacts with Keratin 7 only. Cytokeratins comprise a diverse group of intermediate filament proteins (IFPs) that are expressed as pairs in both keratinized and non-keratinized epithelial tissue. Cytokeratins play a critical role in differentiation and tissue specialization and function to maintain the overall structural integrity of epithelial cells. Cytokeratins have been found to be useful markers of tissue differentiation, which is directly applicable to the characterization of malignant tumors. Cytokeratin 7 is a basic cytokeratin, which is found in most glandular and transitional epithelia but not in the stratified squamous epithelia. Cytokeratin 7 is expressed in the epithelial cells of ovary, lung, and breast but not of colon, prostate, or gastrointestinal tract. Cytokeratin 17 is expressed in epithelial cells of various origins, such as bronchial epithelial cells and skin appendages. Cytokeratin 17 antibody marks basal cell differentiation.

Application Notes

Optimal dilution of the Cytokeratin 7/17 antibody should be determined by the researcher.

Immunogen

A cytoskeletal preparation from human HeLa cells was used as the immunogen for this Cytokeratin 7/17 antibody.

Storage

Store the Cytokeratin 7/17 antibody at 2-8oC (with azide) or aliquot and store at -20oC or colder (without azide).

Cross
Bulk Quote Request Form
Name*:
Organization*:
Email*:
Phone Number*:
Catalog No.*:
Comments and Specifics(amount, formulation, etc.)*:
Validation code: Captchapackage Image


Can't read the image? click here to refresh.
    *required field

Your bulk quote request has been submitted successfully!

Please contact us if you have any questions.