• Tel: 858.663.9055
  • SeparatorEmail: info@nsjbio.com
  • Tel: 858.663.9055
  • Email: info@nsjbio.com
Home >> Antibodies >> Cytokeratin 7 Antibody

Cytokeratin 7 Antibody [clone KRT7/760] (V2658)

  Catalog No Formulation Size Price (USD)  
Image V2658-100UG 0.2 mg/ml in 1X PBS with 0.1 mg/ml BSA (US sourced) and 0.05% sodium azide 100 ug 539
Image
V2658-20UG 0.2 mg/ml in 1X PBS with 0.1 mg/ml BSA (US sourced) and 0.05% sodium azide 20 ug 249
Image
V2658SAF-100UG 1 mg/ml in 1X PBS; BSA free, sodium azide free 100 ug 539
Image
V2658IHC-7ML Prediluted in 1X PBS with 0.1 mg/ml BSA (US sourced) and 0.05% sodium azide; *For IHC use only* 7 ml 539
Bulk quote request
IHC: Formalin-fixed, paraffin-embedded human lung carcinoma stained with Cytokeratin 7 antibody (clone KRT7/760).
IHC: Formalin-fixed, paraffin-embedded human ovarian carcinoma stained with Cytokeratin 7 antibody (clone KRT7/760).
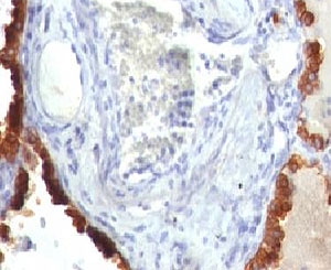
IHC: Formalin-fixed, paraffin-embedded human endometrial carcinoma stained with Cytokeratin 7 antibody (clone KRT7/760).
Western blot testing of human HeLa cell lysate with Cytokeratin 7 antibody (clone KRT7/760). Predicted molecular weight ~51 kDa.
Flow cytometry testing of PFA-fixed human HeLa cells with Cytokeratin 7 antibody (clone KRT7/760); Red=isotype control, Blue= recombinant Cytokeratin 7 antibody.
Immunofluorescent staining of methanol-fixed human HeLa cells with Cytokeratin 7 antibody (clone KRT7/760, green) and Reddot nuclear stain (red).
Availability 1-3 business days
Species Reactivity Human
Format Purified
Clonality Monoclonal (mouse origin)
Isotype Mouse IgG1, kappa
Clone Name KRT7/760
Purity Protein G affinity chromatography
UniProt P08729
Localization Cytoplasmic
Applications Flow Cytometry : 1-2ug/10^6 cells
Immunofluorescence : 1-2ug/ml
Western Blot : 1-2ug/ml
Immunohistochemistry (FFPE) : 1-2ug/ml for 30 min at RT
Limitations This Cytokeratin 7 antibody is available for research use only.
Review this product on BioCompare and get a $20 Amazon gift card

Related Products

Description

Cytokeratin 7 antibody clone KRT7/760 is a monoclonal antibody specific for keratin 7, a type II intermediate filament protein expressed in many glandular and transitional epithelia. Keratin 7 is absent in gastrointestinal epithelia, making it a valuable marker for differential diagnosis of carcinomas. NSJ Bioreagents supplies Cytokeratin 7 antibody clone KRT7/760 as a reliable reagent for epithelial research and cancer pathology.

The antibody shows distinct cytoplasmic staining in lung, breast, ovary, and urinary tract epithelium. In pathology, it is widely applied to distinguish primary from metastatic tumors, particularly when paired with keratin 20. The CK7/CK20 profile remains a cornerstone of immunohistochemistry in tumor classification.

In oncology, Cytokeratin 7 antibody clone KRT7/760 has been applied to research on breast and ovarian cancers. Its detection supports studies into tumor histogenesis, progression, and therapeutic stratification. It has also been used to identify circulating tumor cells, highlighting its value in studies of metastasis and patient monitoring.

The antibody also supports developmental and cell biology studies, where keratin 7 expression provides a marker for epithelial differentiation and cytoskeletal organization.

Validated in tissue and cell-based applications, the antibody consistently produces reproducible cytoplasmic staining with minimal background. Alternate names include CK7 antibody, keratin 7 antibody, and type II cytokeratin antibody.

This mAb is highly useful in distinguishing ovarian carcinomas (keratin 7+) from colon carcinomas (keratin 7-).

Application Notes

Optimal dilution of the Cytokeratin 7 antibody should be determined by the researcher.

1. Staining of formalin-fixed tissues requires boiling tissue sections in pH 9 10mM Tris with 1mM EDTA for 10-20 min followed by cooling at RT for 20 minutes
2. The prediluted format is supplied in a dropper bottle and is optimized for use in IHC. After epitope retrieval step (if required), drip mAb solution onto the tissue section and incubate at RT for 30 min.

Immunogen

Recombinant full-length human KRT7 protein was used as the immunogen for the Cytokeratin 7 antibody.

Storage

Store the Cytokeratin 7 antibody at 2-8oC (with azide) or aliquot and store at -20oC or colder (without azide).

Cross
Bulk Quote Request Form
Name*:
Organization*:
Email*:
Phone Number*:
Catalog No.*:
Comments and Specifics(amount, formulation, etc.)*:
Validation code: Captchapackage Image


Can't read the image? click here to refresh.
    *required field

Your bulk quote request has been submitted successfully!

Please contact us if you have any questions.