• Tel: 858.663.9055
  • SeparatorEmail: info@nsjbio.com
  • Tel: 858.663.9055
  • Email: info@nsjbio.com
Home >> Antibodies >> Cytokeratin 7 Antibody / KRT7

Cytokeratin 7 Antibody / KRT7 [clone EBC-11] (RQ5259)

  Catalog No Formulation Size Price (USD)  
Image RQ5259 Antibody in PBS with 0.02% sodium azide, 50% glycerol and 0.4-0.5mg/ml BSA 100 ul 439
Microvalidated Rab Mono Image
Bulk quote request
Western blot testing of human T-47D cell lysate with Cytokeratin 7 antibody. Predicted molecular weight ~51 kDa.
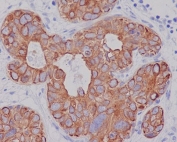
IHC staining of FFPE human breast carcinoma with Cytokeratin 7 antibody. HIER: boil tissue sections in pH6, 10mM citrate buffer, for 10-20 min and allow to cool before testing.
Immunofluorescent staining of FFPE human HeLa cells with Cytokeratin 7 antibody (green) and DAPI nuclear stain (blue). HIER: steam section in pH6 citrate buffer for 20 min.
Western blot testing of human HeLa cell lysate with Cytokeratin 7 antibody. Predicted molecular weight ~51 kDa.
Availability 1-2 weeks
Species Reactivity Human
Format Purified
Clonality Rabbit Monoclonal
Isotype Rabbit IgG
Clone Name EBC-11
Purity Affinity purified
UniProt P08729
Applications Western Blot : 1:5000-1:10000
Immunohistochemistry (FFPE) : 1:50-1:200
Immunofluorescence : 1:50-1:200
Limitations This Cytokeratin 7 antibody is available for research use only.
Review this product on BioCompare and get a $20 Amazon gift card

Related Products

Description

The protein encoded by the KRT7 gene is a member of the keratin gene family. The type II cytokeratins consist of basic or neutral proteins which are arranged in pairs of heterotypic keratin chains coexpressed during differentiation of simple and stratified epithelial tissues. This type II cytokeratin is specifically expressed in the simple epithelia lining the cavities of the internal organs and in the gland ducts and blood vessels. [RefSeq]

Application Notes

Optimal dilution of the Cytokeratin 7 antibody should be determined by the researcher.

Immunogen

A synthetic peptide specific to human Cytokeratin 7 / KRT7 was used as the immunogen for the Cytokeratin 7 antibody.

Storage

Store the Cytokeratin 7 antibody at -20oC.

Cross
Bulk Quote Request Form
Name*:
Organization*:
Email*:
Phone Number*:
Catalog No.*:
Comments and Specifics(amount, formulation, etc.)*:
Validation code: Captchapackage Image


Can't read the image? click here to refresh.
    *required field

Your bulk quote request has been submitted successfully!

Please contact us if you have any questions.