• Tel: 858.663.9055
  • SeparatorEmail: info@nsjbio.com
  • Tel: 858.663.9055
  • Email: info@nsjbio.com
Home >> Antibodies >> Cytokeratin 7 Antibody

Cytokeratin 7 Antibody [clone CTKN7-1] (V7104)

  Catalog No Formulation Size Price (USD)  
Image V7104-100UG 0.2 mg/ml in 1X PBS with 0.1 mg/ml BSA (US sourced) and 0.05% sodium azide 100 ug 539
Image
V7104-20UG 0.2 mg/ml in 1X PBS with 0.1 mg/ml BSA (US sourced) and 0.05% sodium azide 20 ug 249
Image
V7104SAF-100UG 1 mg/ml in 1X PBS; BSA free, sodium azide free 100 ug 539
Image
V7104IHC-7ML Prediluted in 1X PBS with 0.1 mg/ml BSA (US sourced) and 0.05% sodium azide; *For IHC use only* 7 ml 539
Bulk quote request
Immunofluorescent staining of methanol-fixed human HeLa cells with Cytokeratin 7 antibody (clone CTKN7-1, green) and Reddot nuclear stain (red).
IHC testing of FFPE human lung carcinoma and Cytokeratin 7 antibody (clone CTKN7-1). Staining of formalin-fixed tissues requires boiling tissue sections in pH 9 10mM Tris with 1mM EDTA for 10-20 min followed by cooling at RT for 20 minutes.
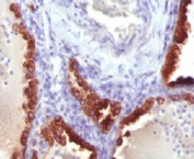
IHC testing of human ovarian carcinoma and Cytokeratin 7 antibody (clone CTKN7-1). Staining of formalin-fixed tissues requires boiling tissue sections in pH 9 10mM Tris with 1mM EDTA for 10-20 min followed by cooling at RT for 20 minutes.
Western blot testing of human HeLa cell lysate with Cytokeratin 7 antibody (clone CTKN7-1). Predicted molecular weight ~51 kDa.
Availability 1-3 business days
Species Reactivity Human
Format Purified
Clonality Monoclonal (mouse origin)
Isotype Mouse IgG1, kappa
Clone Name CTKN7-1
Purity Protein G affinity chromatography
UniProt P08729
Localization Cytoplasmic
Applications Western Blot : 1-2ug/ml
Immunofluorescence : 1-2ug/ml
Immunohistochemistry (FFPE) : 1-2ug/ml for 30 min at RT
Prediluted IHC Only Format : incubate for 30 min at RT (1)
Limitations This Cytokeratin 7 antibody is available for research use only.
Review this product on BioCompare and get a $20 Amazon gift card

Related Products

Description

Cytokeratin-7 (CK7) is a member of the keratin gene family. The type II cytokeratins consist of basic or neutral proteins which are arranged in pairs of heterotypic keratin chains coexpressed during differentiation of simple and stratified epithelial tissues. CK7 is specifically expressed in the simple epithelia lining the cavities of the internal organs and in the gland ducts and blood vessels. It is found in simple glandular epithelia, and in transitional epithelium. Epithelial cells of the lung and breast both contain CK7, but some other glandular epithelia, such as those of the colon and prostate, do not. Because the protein is found in both healthy and neoplastic cells, antibodies to CK7 can be used in immunohistochemistry to distinguish ovarian and transitional cell carcinomas from colonic and prostate cancers, respectively. It is commonly used together with CK20 when making such diagnoses. [Wiki]

Application Notes

Optimal dilution of the Cytokeratin 7 antibody should be determined by the researcher.

1. The prediluted format is supplied in a dropper bottle and is optimized for use in IHC. After epitope retrieval step (if required), drip mAb solution onto the tissue section and incubate at RT for 30 min.

Immunogen

Recombinant full-length human KRT7 protein was used as the immunogen for the Cytokeratin 7 antibody.

Storage

Store the Cytokeratin 7 antibody at 2-8oC (with azide) or aliquot and store at -20oC or colder (without azide).

Cross
Bulk Quote Request Form
Name*:
Organization*:
Email*:
Phone Number*:
Catalog No.*:
Comments and Specifics(amount, formulation, etc.)*:
Validation code: Captchapackage Image


Can't read the image? click here to refresh.
    *required field

Your bulk quote request has been submitted successfully!

Please contact us if you have any questions.