• Tel: 858.663.9055
  • SeparatorEmail: info@nsjbio.com
  • Tel: 858.663.9055
  • Email: info@nsjbio.com
Home >> Antibodies >> Cytokeratin 20 Antibody

Cytokeratin 20 Antibody [clone KRT20/7805R] (V4493)

  Catalog No Formulation Size Price (USD)  
Image V4493-100UG 0.2 mg/ml in 1X PBS with 0.1 mg/ml BSA (US sourced), 0.05% sodium azide 100 ug 539
Image
V4493-20UG 0.2 mg/ml in 1X PBS with 0.1 mg/ml BSA (US sourced), 0.05% sodium azide 20 ug 249
Image
V4493SAF-100UG 1 mg/ml in 1X PBS; BSA free, sodium azide free 100 ug 539
Microvalidated Recrabbitmono
Bulk quote request
Western blot testing of human HT29 cell lysate with Cytokeratin 20 antibody. Predicted molecular weight ~46 kDa.
Western blot testing of human HT29 cell lysate with Cytokeratin 20 antibody. Predicted molecular weight ~46 kDa.
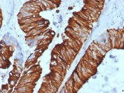
IHC staining of FFPE human colon carcinoma tissue with Cytokeratin 20 antibody (clone KRT20/7805R). HIER: boil tissue sections in pH 9 10mM Tris with 1mM EDTA for 20 min and allow to cool before testing.
Availability 1-3 business days
Species Reactivity Human
Format Purified
Clonality Recombinant Rabbit Monoclonal
Isotype Rabbit IgG, kappa
Clone Name KRT20/7805R
Purity Protein A/G affinity
UniProt P35900
Localization Cytoplasm
Applications Immunohistochemistry (FFPE) : 1-2ug/ml for 30 minutes at RT
Western Blot : 2-4ug/ml
Limitations This Cytokeratin 20 antibody is available for research use only.
Review this product on BioCompare and get a $20 Amazon gift card

Related Products

Description

This mAb recognizes an intermediate filament protein of 46kDa, identified as cytokeratin 20 (KRT20). KRT20 is abundantly expressed in goblet cells and enterocytes of the gastrointestinal tract. It is a useful marker of pancreatic and colorectal cancer. KRT20 is expressed under normal, hyperplastic and neoplastic conditions. It has been detected in adenocarcinomas of the colon, stomach and biliary tract. Breast carcinomas are generally non-reactive.

Application Notes

Optimal dilution of the Cytokeratin 20 antibody should be determined by the researcher.

Immunogen

A recombinant fragment of human KRT20 protein (within amino acids 324-424) was used as the immunogen for the Cytokeratin 20 antibody.

Storage

Aliquot the Cytokeratin 20 antibody and store frozen at -20oC or colder. Avoid repeated freeze-thaw cycles.

Cross
Bulk Quote Request Form
Name*:
Organization*:
Email*:
Phone Number*:
Catalog No.*:
Comments and Specifics(amount, formulation, etc.)*:
Validation code: Captchapackage Image


Can't read the image? click here to refresh.
    *required field

Your bulk quote request has been submitted successfully!

Please contact us if you have any questions.