• Tel: 858.663.9055
  • SeparatorEmail: info@nsjbio.com
  • Tel: 858.663.9055
  • Email: info@nsjbio.com
Home >> Antibodies >> Cytokeratin 20 Antibody / KRT20 / CK20

Cytokeratin 20 Antibody / KRT20 / CK20 [clone KRT20/1992] (V3909)

  Catalog No Formulation Size Price (USD)  
Image V3909-100UG 0.2 mg/ml in 1X PBS with 0.1 mg/ml BSA (US sourced) and 0.05% sodium azide 100 ug 539
Image
V3909-20UG 0.2 mg/ml in 1X PBS with 0.1 mg/ml BSA (US sourced) and 0.05% sodium azide 20 ug 249
Image
V3909SAF-100UG 1 mg/ml in 1X PBS; BSA free, sodium azide free 100 ug 539
Microvalidated
Bulk quote request
IHC testing of human colon with Cytokeratin 20 antibody (clone KRT20/1992). Required HIER: boil tissue sections in 10mM citrate buffer, pH 6, for 10-20 min followed by cooling at RT for 20 min.
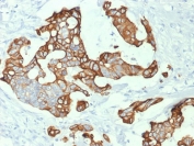
IHC testing of human colon carcinoma with Cytokeratin 20 antibody (clone KRT20/1992). Required HIER: boil tissue sections in 10mM citrate buffer, pH 6, for 10-20 min followed by cooling at RT for 20 min.
Western blot testing of human HT29 cell lysate with Cytokeratin 20 antibody (clone KRT20/1992). Predicted molecular weight ~46 kDa.
Analysis of HuProt(TM) microarray containing more than 19,000 full-length human proteins using Cytokeratin 20 antibody (clone KRT20/1992). These results demonstrate the foremost specificity of the KRT20/1992 mAb.
Z- and S- score: The Z-score represents the strength of a signal that an antibody (in combination with a fluorescently-tagged anti-IgG secondary Ab) produces when binding to a particular protein on the HuProt(TM) array. Z-scores are described in units of standard deviations (SD's) above the mean value of all signals generated on that array. If the targets on the HuProt(TM) are arranged in descending order of the Z-score, the S-score is the difference (also in units of SD's) between the Z-scores. The S-score therefore represents the relative target specificity of an Ab to its intended target.
Availability 1-3 business days
Species Reactivity Human
Format Purified
Clonality Monoclonal (mouse origin)
Isotype Mouse IgG2b, kappa
Clone Name KRT20/1992
Purity Protein G affinity chromatography
UniProt P35900
Localization Cytoplasmic
Applications Western Blot : 0.5ug/ml-2ug/ml
Immunohistochemistry (FFPE) : 1-2ug/ml for 30 min at RT
Limitations This Cytokeratin 20 antibody is available for research use only.
Review this product on BioCompare and get a $20 Amazon gift card

Related Products

Description

This mAb recognizes an intermediate filament protein of 46kDa, identified as Cytokeratin 20 (KRT20, CK20). KRT is abundantly expressed in goblet cells and enterocytes of the gastrointestinal tract. It is a useful marker of pancreatic and colorectal cancer. KRT20 is expressed under normal, hyperplastic and neoplastic conditions. It has been detected in adenocarcinomas of the colon, stomach and biliary tract. Breast carcinomas are generally non-reactive.

Application Notes

Optimal dilution of the Cytokeratin 20 antibody should be determined by the researcher.

Immunogen

A portion of amino acids 196-323 from the human protein was used as the immunogen for this Cytokeratin 20 antibody.

Storage

Store the Cytokeratin 20 antibody at 2-8oC (with azide) or aliquot and store at -20oC or colder (without azide).

Cross
Bulk Quote Request Form
Name*:
Organization*:
Email*:
Phone Number*:
Catalog No.*:
Comments and Specifics(amount, formulation, etc.)*:
Validation code: Captchapackage Image


Can't read the image? click here to refresh.
    *required field

Your bulk quote request has been submitted successfully!

Please contact us if you have any questions.