• Tel: 858.663.9055
  • SeparatorEmail: info@nsjbio.com
  • Tel: 858.663.9055
  • Email: info@nsjbio.com
Home >> Antibodies >> Cytokeratin 18 Antibody

Cytokeratin 18 Antibody [clone KRT18/835] (V2673)

  Catalog No Formulation Size Price (USD)  
Image V2673-100UG 0.2 mg/ml in 1X PBS with 0.1 mg/ml BSA (US sourced) and 0.05% sodium azide 100 ug 539
Image
V2673-20UG 0.2 mg/ml in 1X PBS with 0.1 mg/ml BSA (US sourced) and 0.05% sodium azide 20 ug 249
Image
V2673SAF-100UG 1 mg/ml in 1X PBS; BSA free, sodium azide free 100 ug 539
Image
V2673IHC-7ML Prediluted in 1X PBS with 0.1 mg/ml BSA (US sourced) and 0.05% sodium azide; *For IHC use only* 7 ml 539
Microvalidated
Bulk quote request
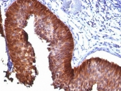
IHC: Formalin-fixed, paraffin-embedded human colon carcinoma stained with Cytokeratin 18 antibody (clone KRT18/835).
IHC: Formalin-fixed, paraffin-embedded human thyroid carcinoma stained with Cytokeratin 18 antibody (KRT18/835).
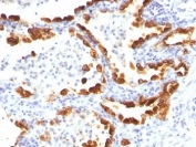
IHC: Formalin-fixed, paraffin-embedded human lung carcinoma stained with Cytokeratin 18 antibody (clone KRT18/835).
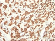
IHC: Formalin-fixed, paraffin-embedded human prostate carcinoma stained with Cytokeratin 18 antibody (clone KRT18/835).
IHC: Formalin-fixed, paraffin-embedded human bladder carcinoma stained with Cytokeratin 18 antibody (KRT18/835).
Immunofluorescent staining of permeabilized human MCF7 cells with Cytokeratin 18 antibody (green, clone KRT18/835) and Reddot nuclear stain (red).
Western blot testing of HCT116 cell lysate with Cytokerain 18 antibody (clone KRT18/835). Expected molecular weight: 46-50 kDa.
Analysis of HuProt(TM) microarray containing more than 19,000 full-length human proteins using Cytokeratin 18 antibody (clone KRT18/835). These results demonstrate the foremost specificity of the KRT18/835 mAb.
Z- and S- score: The Z-score represents the strength of a signal that an antibody (in combination with a fluorescently-tagged anti-IgG secondary Ab) produces when binding to a particular protein on the HuProt(TM) array. Z-scores are described in units of standard deviations (SD's) above the mean value of all signals generated on that array. If the targets on the HuProt(TM) are arranged in descending order of the Z-score, the S-score is the difference (also in units of SD's) between the Z-scores. The S-score therefore represents the relative target specificity of an Ab to its intended target.
SDS-PAGE analysis of purified, BSA-free Cytokeratin 18 antibody (clone KRT18/835) as confirmation of integrity and purity.
Availability 1-3 business days
Species Reactivity Human, Rat
Format Purified
Clonality Monoclonal (mouse origin)
Isotype Mouse IgG1, kappa
Clone Name KRT18/835
Purity Protein G affinity chromatography
UniProt P05783
Localization Cytoplasmic
Applications Western Blot : 1-2ug/ml
Immunohistochemistry (FFPE) : 1-2ug/ml for 30 min at RT
Limitations This Cytokeratin 18 antibody is available for research use only.
Review this product on BioCompare and get a $20 Amazon gift card

Related Products

Description

This mAb reacts with a wide variety of simple epithelia. It does not react with stratified squamous epithelia. It reacts with epithelial tumors of the gastrointestinal tract, lung, breast, pancreas, ovary, and thyroid. Cytokeratin 18, which belongs to the type A (acidic) subfamily of low molecular weight keratins, exists in combination with cytokeratin 8. It is reported that tissues from gastrointestinal tract are positive for both cytokeratin 8 and 18 but do not contain cytokeratin 14. Tissues from gastrointestinal tract, respiratory tract and urogenital tract, as well as endocrine and exocrine tissues and mesothelial cells are positive for cytokeratin 18.

Application Notes

Optimal dilution of the Cytokeratin 18 antibody should be determined by the researcher.

1. Staining of formalin-fixed tissues requires boiling tissue sections in 10mM Citrate buffer, pH 6.0, for 10-20 min followed by cooling at RT for 20 min
2. The prediluted format is supplied in a dropper bottle and is optimized for use in IHC. After epitope retrieval step (if required), drip mAb solution onto the tissue section and incubate at RT for 30 min.

Immunogen

Recombinant full-length human KRT18 protein was used as the immunogen for the Cytokeratin 18 antibody.

Storage

Store the Cytokeratin 18 antibody at 2-8oC (with azide) or aliquot and store at -20oC or colder (without azide).

Cross
Bulk Quote Request Form
Name*:
Organization*:
Email*:
Phone Number*:
Catalog No.*:
Comments and Specifics(amount, formulation, etc.)*:
Validation code: Captchapackage Image


Can't read the image? click here to refresh.
    *required field

Your bulk quote request has been submitted successfully!

Please contact us if you have any questions.