• Tel: 858.663.9055
  • SeparatorEmail: info@nsjbio.com
  • Tel: 858.663.9055
  • Email: info@nsjbio.com
Home >> Antibodies >> Cytokeratin 15 Antibody / KRT15

Cytokeratin 15 Antibody / KRT15 [clone KRT15/2957] (V7918)

  Catalog No Formulation Size Price (USD)  
Image V7918-100UG 0.2 mg/ml in 1X PBS with 0.1 mg/ml BSA (US sourced) and 0.05% sodium azide 100 ug 539
Image
V7918-20UG 0.2 mg/ml in 1X PBS with 0.1 mg/ml BSA (US sourced) and 0.05% sodium azide 20 ug 249
Image
V7918SAF-100UG 1 mg/ml in 1X PBS; BSA free, sodium azide free 100 ug 539
Microvalidated
Bulk quote request
Immunofluorescent staining of MeOH-fixed human MCF7 cells with Cytokeratin 15 antibody (clone KRT15/2957, green) and Reddot nuclear stain (red).
Flow cytometry testing of PFA-fixed human MCF7 cells with Cytokeratin 15 antibody (clone KRT15/2957); Red=isotype control, Blue= Cytokeratin 15 antibody.
Western blot testing of human thymus tissue and HCT-116 cell lysate with CK15 antibody (clone KRT15/2957). Expected molecular weight ~50 kDa.
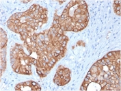
IHC staining of FFPE human colon carcinoma with Cytokeratin 15 antibody (clone KRT15/2957). HIER: boil tissue sections in pH 9 10mM Tris with 1mM EDTA for 10-20 min and allow to cool before testing.
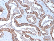
IHC staining of FFPE human prostate carcinoma with Cytokeratin 15 antibody (clone KRT15/2957). HIER: boil tissue sections in pH 9 10mM Tris with 1mM EDTA for 10-20 min and allow to cool before testing.
IHC staining of FFPE human basal cell carcinoma with Cytokeratin 15 antibody (clone KRT15/2957). HIER: boil tissue sections in pH 9 10mM Tris with 1mM EDTA for 10-20 min and allow to cool before testing.
Analysis of HuProt(TM) microarray containing more than 19,000 full-length human proteins using Cytokeratin 15 antibody (clone KRT15/2957). These results demonstrate the foremost specificity of the KRT15/2957 mAb.
Z- and S- score: The Z-score represents the strength of a signal that an antibody (in combination with a fluorescently-tagged anti-IgG secondary Ab) produces when binding to a particular protein on the HuProt(TM) array. Z-scores are described in units of standard deviations (SD's) above the mean value of all signals generated on that array. If the targets on the HuProt(TM) are arranged in descending order of the Z-score, the S-score is the difference (also in units of SD's) between the Z-scores. The S-score therefore represents the relative target specificity of an Ab to its intended target.
SDS-PAGE analysis of purified, BSA-free Cytokeratin 15 antibody (clone KRT15/2957) as confirmation of integrity and purity.
Availability 1-3 business days
Species Reactivity Human
Format Purified
Clonality Monoclonal (mouse origin)
Isotype Mouse IgG2c, kappa
Clone Name KRT15/2957
Purity Protein G affinity chromatography
UniProt P19012
Localization Cytoplasmic
Applications Flow Cytometry : 1-2ug/10^6 cells in 0.1ml
Immunofluorescence : 1-2ug/ml
Western Blot : 1-2ug/ml
Immunohistochemistry (FFPE) : 1-2ug/ml
Limitations This Cytokeratin 15 antibody is available for research use only.
Review this product on BioCompare and get a $20 Amazon gift card

Related Products

Description

Keratin 15 is a type I keratin which is expressed only in basal keratinocytes in stratified epithelia and does not appear to have a natural type II expression partner. Keratin 15 is down regulated in activated keratinocytes. Cytokeratin 15 is a specific marker of stem cells of the hair-follicle bulge and may be a useful marker for diagnosis between basal cell carcinoma (BCC) and trichoepithelioma. Trichoblastoma are benign neoplasms of follicular differentiation frequently found in nevus sebaceous. Many morphologic features are shared with nodular basal cell carcinoma, sometimes rendering a diagnosis difficult. Trichoblastoma and BCC show variable expression of Cytokeratin 15 and Cytokeratin 19, and absence of hair keratins.

Application Notes

Optimal dilution of the Cytokeratin 15 antibody should be determined by the researcher.

Immunogen

Recombinant human KRT15 protein was used as the immunogen for the CK15 antibody.

Storage

Store the Cytokeratin 15 antibody at 2-8oC (with azide) or aliquot and store at -20oC or colder (without azide).

Cross
Bulk Quote Request Form
Name*:
Organization*:
Email*:
Phone Number*:
Catalog No.*:
Comments and Specifics(amount, formulation, etc.)*:
Validation code: Captchapackage Image


Can't read the image? click here to refresh.
    *required field

Your bulk quote request has been submitted successfully!

Please contact us if you have any questions.