• Tel: 858.663.9055
  • SeparatorEmail: info@nsjbio.com
  • Tel: 858.663.9055
  • Email: info@nsjbio.com
Home >> Antibodies >> Cytokeratin 14 Antibody / CK14 / KRT14

Cytokeratin 14 Antibody / CK14 / KRT14 [clone EEO-11] (RQ4995)

  Catalog No Formulation Size Price (USD)  
Image RQ4995 Antibody in PBS with 0.02% sodium azide, 50% glycerol and 0.4-0.5mg/ml BSA 100 ul 439
Microvalidated Rab Mono Image
Bulk quote request
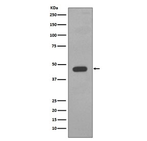
Western blot testing of human A431 cell lysate with Cytokeratin 14 antibody. Predicted molecular weight ~53 kDa.
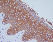
IHC staining of FFPE human skin tissue with Cytokeratin 14 antibody. HIER: boil tissue sections in pH8 EDTA for 20 min and allow to cool before testing.
Availability 1-2 weeks
Species Reactivity Human
Format Purified
Clonality Rabbit Monoclonal
Isotype Rabbit IgG
Clone Name EEO-11
Purity Affinity purified
UniProt P02533
Applications Western Blot : 1:500-1:2000
Immunohistochemistry (FFPE) : 1:50-1:200
Limitations This Cytokeratin 14 antibody is available for research use only.
Review this product on BioCompare and get a $20 Amazon gift card

Related Products

Description

Cytokeratin 14, a type I keratin, is usually found as a heterotetramer with two keratin 5 molecules, a type II keratin. Together they form the cytoskeleton of epithelial cells. [RefSeq]

Application Notes

Optimal dilution of the Cytokeratin 14 antibody should be determined by the researcher.

Immunogen

A synthetic peptide specific to human Cytokeratin 14 / KRT14 was used as the immunogen for the Cytokeratin 14 antibody.

Storage

Store the Cytokeratin 14 antibody at -20oC.

Cross
Bulk Quote Request Form
Name*:
Organization*:
Email*:
Phone Number*:
Catalog No.*:
Comments and Specifics(amount, formulation, etc.)*:
Validation code: Captchapackage Image


Can't read the image? click here to refresh.
    *required field

Your bulk quote request has been submitted successfully!

Please contact us if you have any questions.