• Tel: 858.663.9055
  • SeparatorEmail: info@nsjbio.com
  • Tel: 858.663.9055
  • Email: info@nsjbio.com
Home >> Antibodies >> Cytochrome C1 Antibody / CYC1

Cytochrome C1 Antibody / CYC1 (F54386)

  Catalog No Formulation Size Price (USD)  
Image F54386-0.4ML In 1X PBS, pH 7.4, with 0.09% sodium azide 0.4 ml 429
Image
F54386-0.08ML In 1X PBS, pH 7.4, with 0.09% sodium azide 0.08 ml 199
Bulk quote request
Western blot testing of human 1) A431, 2) HeLa, 3) HepG2, 4) MCF7, 5) U-251 MG and 6) mouse brain lysate with Cytochrome C1 antibody. Predicted molecular weight ~35 kDa.
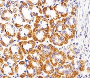
IHC testing of FFPE human stomach tissue with Cytochrome C1 antibody. HIER: steam section in pH6 citrate buffer for 20 min and allow to cool prior to staining.
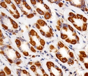
IHC testing of FFPE mouse stomach tissue with Cytochrome C1 antibody. HIER: steam section in pH6 citrate buffer for 20 min and allow to cool prior to staining.
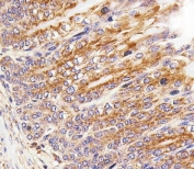
IHC testing of FFPE rat stomach tissue with Cytochrome C1 antibody. HIER: steam section in pH6 citrate buffer for 20 min and allow to cool prior to staining.
Immunofluorescent staining of fixed and permeabilized human HeLa cells with Cytochrome C1 antibody (green), DAPI nuclear stain (blue) and anti-Actin (red).
Availability 1-3 business days
Species Reactivity Human, Mouse
Format Purified
Clonality Polyclonal (rabbit origin)
Isotype Rabbit Ig
Purity Antigen affinity purified
UniProt P08574
Localization Cytoplasmic
Applications Immunohistochemistry (FFPE) : 1:25
Immunofluorescence : 1:25
Western Blot : 1:500-1:2000
Limitations This Cytochrome C1 antibody is available for research use only.
Review this product on BioCompare and get a $20 Amazon gift card

Related Products

Description

This is the heme-containing component of the cytochrome b-c1 complex, which accepts electrons from Rieske protein and transfers electrons to cytochrome c in the mitochondrial respiratory chain.

Application Notes

The stated application concentrations are suggested starting points. Titration of the Cytochrome C1 antibody may be required due to differences in protocols and secondary/substrate sensitivity.

Immunogen

A portion of amino acids 142-176 from the human protein was used as the immunogen for the Cytochrome C1 antibody.

Storage

Aliquot the Cytochrome C1 antibody and store frozen at -20oC or colder. Avoid repeated freeze-thaw cycles.

Cross
Bulk Quote Request Form
Name*:
Organization*:
Email*:
Phone Number*:
Catalog No.*:
Comments and Specifics(amount, formulation, etc.)*:
Validation code: Captchapackage Image


Can't read the image? click here to refresh.
    *required field

Your bulk quote request has been submitted successfully!

Please contact us if you have any questions.