• Tel: 858.663.9055
  • SeparatorEmail: info@nsjbio.com
  • Tel: 858.663.9055
  • Email: info@nsjbio.com
Home >> Antibodies >> CYPOR Antibody / Cytochrome P450 Oxidoreductase/ POR

CYPOR Antibody / Cytochrome P450 Oxidoreductase/ POR (R31055)

  Catalog No Formulation Size Price (USD)  
Image R31055 0.5mg/ml if reconstituted with 0.2ml sterile DI water 100 ug 439
Bulk quote request
Western blot testing of CYPOR antibody and rat samples: 1. ovary; 2. lung; 3. testis; 4. spleen; and human samples 5. A549; 6. HeLa; 7. SKOV; 8. MCF-7 cell lysate. Predicted/observed molecular weight: ~77 kDa.
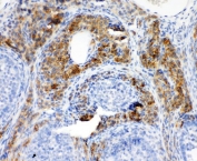
IHC-P: CYPOR antibody testing of human placenta tissue. HIER: steamed with pH6 citrate buffer.
ICC testing of CYPOR antibody and human placenta cells
IHC staining of FFPE rat ovary with CYPOR antibody. HIER: boil tissue sections in pH6, 10mM citrate buffer, for 20 min and allow to cool before testing.
Availability 1-3 business days
Species Reactivity Human, Mouse, Rat
Format Antigen affinity purified
Clonality Polyclonal (rabbit origin)
Isotype Rabbit IgG
Purity Antigen affinity
Buffer Lyophilized from 1X PBS with 2.5% BSA and 0.025% sodium azide/thimerosal
UniProt P16435
Localization Cytoplasmic, membrane
Applications Western Blot : 0.5-1ug/ml
IHC (FFPE) : 0.5-1ug/ml
Immunocytochemistry : 0.5-1ug/ml
Limitations This CYPOR antibody is available for research use only.
Review this product on BioCompare and get a $20 Amazon gift card

Related Products

Description

Cytochrome P450 Oxidoreductase (CYPOR), also known as Cytochrome P450 Reductase, is a membrane-bound enzyme required for electron transfer to cytochrome P450 in the endoplasmic reticulumof the eukaryotic cell from a FAD- and FMN-containing enzyme NADPH: cytochrome P450 reductase. By Southern blot analysis of DNA isolated from a panel of 8 independent human-rodent somatic cell hybrids, Shephard et al.(1989) determined that CYPOR is encoded by a single gene located on 7pter-q22. By in situ hybridization to metaphase chromosomes, they refined the localization to 7q11.2. Cytochrome P450 oxidoreductase is a flavoprotein that donates electrons to all microsomal P450 enzymes, including the steroidogenic enzymes P450c17 (CYP17A1), P450c21 (CYP21A2), and CYP51A1 (Miller, 1986).

Application Notes

The stated application concentrations are suggested starting amounts. Titration of the CYPOR antibody may be required due to differences in protocols and secondary/substrate sensitivity.

Immunogen

An amino acid sequence from the C-terminus of human Cytochrome P450 Oxidoreductase (DYIKKLMTKGRYSLDVWS) was used as the immunogen for this CYPOR antibody.

Storage

After reconstitution, the CYPOR antibody can be stored for up to one month at 4oC. For long-term, aliquot and store at -20oC. Avoid repeated freezing and thawing.

Cross
Bulk Quote Request Form
Name*:
Organization*:
Email*:
Phone Number*:
Catalog No.*:
Comments and Specifics(amount, formulation, etc.)*:
Validation code: Captchapackage Image


Can't read the image? click here to refresh.
    *required field

Your bulk quote request has been submitted successfully!

Please contact us if you have any questions.