• Tel: 858.663.9055
  • SeparatorEmail: info@nsjbio.com
  • Tel: 858.663.9055
  • Email: info@nsjbio.com
Home >> Antibodies >> CYP7B1 Antibody

CYP7B1 Antibody (F55002)

  Catalog No Formulation Size Price (USD)  
Image F55002-0.4ML In 1X PBS, pH 7.4, with 0.09% sodium azide 0.4 ml 429
Image
F55002-0.08ML In 1X PBS, pH 7.4, with 0.09% sodium azide 0.08 ml 199
Bulk quote request
Western blot testing of human HeLa cell lysate with CYP7B1 antibody. Predicted molecular weight ~58 kDa.
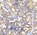
IHC testing of FFPE human brain tissue with CYP7B1 antibody. HIER: steam section in pH6 citrate buffer for 20 min and allow to cool prior to staining.
Immunofluorescent staining of human HeLa cells with CYP7B1 antibody (green) and DAPI nuclear stain (blue).
Flow cytometry testing of human HeLa cells with CYP7B1 antibody; Blue=isotype control, Green= CYP7B1 antibody.
Availability 1-3 business days
Species Reactivity Human
Format Purified
Clonality Polyclonal (rabbit origin)
Isotype Rabbit Ig
Purity Purified
UniProt O75881
Localization Cytoplasmic
Applications Western Blot : 1:500-1:1000
Immunofluorescence : 1:10-1:50
Immunohistochemistry (FFPE) : 1:50-1:100
Flow Cytometry : 1:10-1:50 (1x10e6 cells)
Limitations This CYP7B1 antibody is available for research use only.
Review this product on BioCompare and get a $20 Amazon gift card

Related Products

Description

CYP7B1 is a member of the cytochrome P450 superfamily of enzymes. The cytochrome P450 proteins are monooxygenases which catalyze many reactions involved in drug metabolism and synthesis of cholesterol, steroids and other lipids. This endoplasmic reticulum membrane protein catalyzes the first reaction in the cholesterol catabolic pathway of extrahepatic tissues, which converts cholesterol to bile acids. This enzyme likely plays a minor role in total bile acid synthesis, but may also be involved in the development of atherosclerosis, neurosteroid metabolism and sex hormone synthesis.

Application Notes

The stated application concentrations are suggested starting points. Titration of the CYP7B1 antibody may be required due to differences in protocols and secondary/substrate sensitivity.

Immunogen

A portion of amino acids 252-281 from the human protein was used as the immunogen for the CYP7B1 antibody.

Storage

Aliquot the CYP7B1 antibody and store frozen at -20oC or colder. Avoid repeated freeze-thaw cycles.

Cross
Bulk Quote Request Form
Name*:
Organization*:
Email*:
Phone Number*:
Catalog No.*:
Comments and Specifics(amount, formulation, etc.)*:
Validation code: Captchapackage Image


Can't read the image? click here to refresh.
    *required field

Your bulk quote request has been submitted successfully!

Please contact us if you have any questions.