• Tel: 858.663.9055
  • SeparatorEmail: info@nsjbio.com
  • Tel: 858.663.9055
  • Email: info@nsjbio.com
Home >> Antibodies >> CYP7A1 Antibody

CYP7A1 Antibody (RQ5717)

  Catalog No Formulation Size Price (USD)  
Image RQ5717 0.5mg/ml if reconstituted with 0.2ml sterile DI water 100 ug 439
Bulk quote request
Immunofluorescent staining of FFPE human SiHa cells with CYP7A1 antibody (green) and DAPI nuclear stain (blue). HIER: steam section in pH6 citrate buffer for 20 min.
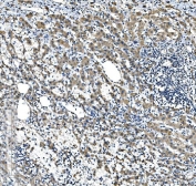
IHC staining of FFPE human liver cancer tissue with CYP7A1 antibody. HIER: boil tissue sections in pH8 EDTA for 20 min and allow to cool before testing.
Western blot testing of human 1) HCCT, 2) HepG2 and 3) HL-60 cell lysate with CYP7A1 antibody. Predicted molecular weight ~54 kDa.
Flow cytometry testing of human SiHa cells with CYP7A1 antibody at 1ug/million cells (blocked with goat sera); Red=cells alone, Green=isotype control, Blue= CYP7A1 antibody.
Availability 1-3 business days
Species Reactivity Human
Format Antigen affinity purified
Clonality Polyclonal
Isotype Rabbit IgG
Purity Affinity purified
Buffer Lyophilized from 1X PBS with 2% Trehalose
UniProt P22680
Localization Cytoplasmic
Applications Western Blot : 0.5-1ug/ml
Flow Cytometry : 1-3ug/million cells
Immunohistochemistry (FFPE) : 2-5ug/ml
Immunofluorescence : 5ug/ml
Direct ELISA : 0.1-0.5ug/ml
Limitations This CYP7A1 antibody is available for research use only.
Review this product on BioCompare and get a $20 Amazon gift card

Related Products

  • Applications : WB, FACS
    Reactivity : Human, Rat

Description

CYP7A1 (Cytochrome P450 Subfamily VIIA Polypeptide 1), also called CYP7 or CHOLESTEROL 7-ALPHA-HYDROXYLASE, is an enzyme that in humans is encoded by the CYP7A1 gene. Using both mouse-human somatic cell hybrids and in situ chromosomal hybridization, Cohen et al.(1992) mapped the CYP7 gene to 8q11-q12. By transfection of reporter constructs, mutation analysis, and DNase footprinting, Molowa et al.(1992) identified areas of the CYP7A1 promoter region that showed hepatocyte-specific activation. They found HNF3 to be an activator of CYP7A1 activity. Agellon et al.(2002) found that wildtype mice and mice transgenic for human CYP7A1 respond differently to cholesterol feeding. Cholesterol feeding stimulated Cyp7a1 mRNA abundance and enzymatic activity in wildtype mice, but repressed human CYP7A1 mRNA and activity in transgenic mice.

Application Notes

Optimal dilution of the CYP7A1 antibody should be determined by the researcher.

Immunogen

Recombinant human protein (amino acids I10-L504) was used as the immunogen for the CYP7A1 antibody.

Storage

After reconstitution, the CYP7A1 antibody can be stored for up to one month at 4oC. For long-term, aliquot and store at -20oC. Avoid repeated freezing and thawing.

Cross
Bulk Quote Request Form
Name*:
Organization*:
Email*:
Phone Number*:
Catalog No.*:
Comments and Specifics(amount, formulation, etc.)*:
Validation code: Captchapackage Image


Can't read the image? click here to refresh.
    *required field

Your bulk quote request has been submitted successfully!

Please contact us if you have any questions.