• Tel: 858.663.9055
  • SeparatorEmail: info@nsjbio.com
  • Tel: 858.663.9055
  • Email: info@nsjbio.com
Home >> Antibodies >> Cyclin E1 Antibody

Cyclin E1 Antibody [clone CCNE1/2460] (V3685)

  Catalog No Formulation Size Price (USD)  
Image V3685-100UG 0.2 mg/ml in 1X PBS with 0.1 mg/ml BSA (US sourced) and 0.05% sodium azide 100 ug 539
Image
V3685-20UG 0.2 mg/ml in 1X PBS with 0.1 mg/ml BSA (US sourced) and 0.05% sodium azide 20 ug 249
Image
V3685SAF-100UG 1 mg/ml in 1X PBS; BSA free, sodium azide free 100 ug 539
Microvalidated
Bulk quote request
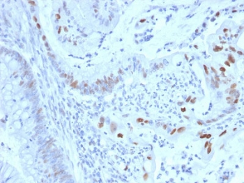
IHC staining of FFPE human colon carcinoma with with Cyclin E1 antibody (clone CCNE1/2460). HIER: boil tissue sections in pH6, 10mM citrate buffer, for 10-20 min followed by cooling at RT for 20 min.
IHC staining of FFPE human colon carcinoma with with Cyclin E1 antibody (clone CCNE1/2460). HIER: boil tissue sections in pH6, 10mM citrate buffer, for 10-20 min followed by cooling at RT for 20 min.
Analysis of HuProt(TM) microarray containing more than 19,000 full-length human proteins using Cyclin E1 antibody (clone CCNE1/2460). These results demonstrate the foremost specificity of the CCNE1/2460 mAb.
Z- and S- score: The Z-score represents the strength of a signal that an antibody (in combination with a fluorescently-tagged anti-IgG secondary Ab) produces when binding to a particular protein on the HuProt(TM) array. Z-scores are described in units of standard deviations (SD's) above the mean value of all signals generated on that array. If the targets on the HuProt(TM) are arranged in descending order of the Z-score, the S-score is the difference (also in units of SD's) between the Z-scores. The S-score therefore represents the relative target specificity of an Ab to its intended target.
SDS-PAGE analysis of purified, BSA-free Cyclin E1 antibody (clone CCNE1/2460) as confirmation of integrity and purity.
Western blot testing of human Jurkat cell lysate with Cyclin E1 antibody. Predicted molecular weight ~47 kDa.
Availability 1-3 business days
Species Reactivity Human
Format Purified
Clonality Monoclonal (mouse origin)
Isotype Mouse IgG2b, kappa
Clone Name CCNE1/2460
Purity Protein G affinity chromatography
UniProt P24864
Localization Nuclear
Applications Western Blot : 1-2ug/ml
Immunohistochemistry (FFPE) : 1-2ug/ml for 30 min at RT
Limitations This Cyclin E1 antibody is available for research use only.
Review this product on BioCompare and get a $20 Amazon gift card

Related Products

Description

Cyclin E1 antibody detects cyclin E1, a core regulator of the cell cycle encoded by the CCNE1 gene. Cyclin E1 partners with cyclin dependent kinase 2 to drive the transition from G1 to S phase, where DNA replication begins. This regulation ensures timely progression through the cell cycle, and its disruption is associated with genomic instability, uncontrolled proliferation, and cancer. Because of its central role, cyclin E1 is a focus in cell cycle research and oncology.

Cyclin E1 levels are normally tightly controlled, rising in late G1 and declining once cells enter S phase. This oscillation is critical for ensuring DNA is replicated once per cycle. Overexpression of cyclin E1 disrupts these controls, promoting replication stress and chromosomal instability, which are hallmarks of tumorigenesis. Amplification of CCNE1 is observed in breast, ovarian, and gastric cancers.

The Cyclin E1 antibody clone CCNE1/2460 provides dependable and specific detection. Clone CCNE1/2460 has been used to investigate how cyclin E1 overexpression contributes to cancer, to study checkpoint regulation, and to analyze cell cycle dynamics. Its reproducibility supports both basic research and translational applications in oncology.

Research with clone CCNE1/2460 has clarified how cyclin E1 orchestrates cell cycle entry and how its misregulation promotes tumor progression. Detection of cyclin E1 is also clinically relevant, as elevated expression often correlates with poor prognosis. This antibody supports ongoing investigations into therapeutic approaches that target cyclin E1 driven pathways.

NSJ Bioreagents provides this Cyclin E1 antibody to support research in cell cycle regulation and cancer. The protein is also described as CCNE1 antibody, G1 S transition cyclin antibody, cell cycle regulatory protein antibody, and cyclin dependent kinase 2 binding partner antibody, reflecting its varied roles in research.

Application Notes

Optimal dilution of the Cyclin E1 antibody should be determined by the researcher.

1. The prediluted format is supplied in a dropper bottle and is optimized for use in IHC. After epitope retrieval step (if required), drip mAb solution onto the tissue section and incubate at RT for 30 min.

Immunogen

Recombinant human partial protein (within amino acids 10-176) was used as the immunogen for the Cyclin E1 antibody.

Storage

Store the Cyclin E1 antibody at 2-8oC (with azide) or aliquot and store at -20oC or colder (without azide).

Cross
Bulk Quote Request Form
Name*:
Organization*:
Email*:
Phone Number*:
Catalog No.*:
Comments and Specifics(amount, formulation, etc.)*:
Validation code: Captchapackage Image


Can't read the image? click here to refresh.
    *required field

Your bulk quote request has been submitted successfully!

Please contact us if you have any questions.