• Tel: 858.663.9055
  • SeparatorEmail: info@nsjbio.com
  • Tel: 858.663.9055
  • Email: info@nsjbio.com
Home >> Antibodies >> Cyclin-dependent kinase 14 Antibody / CDK14 / PFTAIRE-1

Cyclin-dependent kinase 14 Antibody / CDK14 / PFTAIRE-1 (F54938)

  Catalog No Formulation Size Price (USD)  
Image F54938-0.4ML In 1X PBS, pH 7.4, with 0.09% sodium azide 0.4 ml 429
Image
F54938-0.08ML In 1X PBS, pH 7.4, with 0.09% sodium azide 0.08 ml 199
Bulk quote request
Western blot testing of human brain tissue lysate with Cyclin-dependent kinase 14 antibody. Predicted molecular weight ~53 kDa.
Western blot testing of 1) human HeLa, 2) human brain and 3) mouse cerebellum tissue lysate with Cyclin-dependent kinase 14 antibody. Predicted molecular weight ~53 kDa.
Western blot testing of mouse cerebellum tissue lysate with Cyclin-dependent kinase 14 antibody. Predicted molecular weight ~53 kDa.
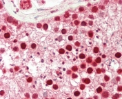
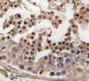
IHC testing of FFPE human testis tissue with Cyclin-dependent kinase 14 antibody. HIER: steam section in pH6 citrate buffer for 20 min and allow to cool prior to staining.
Availability 1-3 business days
Species Reactivity Human, Mouse
Format Purified
Clonality Polyclonal (rabbit origin)
Isotype Rabbit Ig
Purity Antigen affinity purified
UniProt O94921
Localization Nuclear, cytoplasmic
Applications Western Blot : 1:500-1:1000
Immunohistochemistry (FFPE) : 1:50-1:100
Limitations This Cyclin-dependent kinase 14 antibody is available for research use only.
Review this product on BioCompare and get a $20 Amazon gift card

Related Products

Description

Cyclin-dependent kinase 14, a member of the CDC2/CDKX subfamily of Ser/Thr protein kinases, may play a role in meiosis as well as in neuron differentiation and/or function It is highly expressed in brain, pancreas, kidney, heart, testis and ovary, and also detected at lower levels in other tissues except in spleen and thymus where expression is minimal.

Application Notes

The stated application concentrations are suggested starting points. Titration of the Cyclin-dependent kinase 14 antibody may be required due to differences in protocols and secondary/substrate sensitivity.

Immunogen

A portion of amino acids 1-30 from the human protein was used as the immunogen for the Cyclin-dependent kinase 14 antibody.

Storage

Aliquot the Cyclin-dependent kinase 14 antibody and store frozen at -20oC or colder. Avoid repeated freeze-thaw cycles.

Cross
Bulk Quote Request Form
Name*:
Organization*:
Email*:
Phone Number*:
Catalog No.*:
Comments and Specifics(amount, formulation, etc.)*:
Validation code: Captchapackage Image


Can't read the image? click here to refresh.
    *required field

Your bulk quote request has been submitted successfully!

Please contact us if you have any questions.