• Tel: 858.663.9055
  • SeparatorEmail: info@nsjbio.com
  • Tel: 858.663.9055
  • Email: info@nsjbio.com
Home >> Antibodies >> Cyclin D1 Antibody / CCND1

Cyclin D1 Antibody / CCND1 (R32025)

  Catalog No Formulation Size Price (USD)  
Image R32025 0.5mg/ml if reconstituted with 0.2ml sterile DI water 100 ug 439
Bulk quote request
Immunofluorescent staining of FFPE human U-2 OS cells with Cyclin D1 antibody (green) and Alpha Tubulin mAb (red). HIER: steam section in pH6 citrate buffer for 20 min.
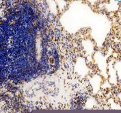
IHC staining of FFPE rat lung tissue with Cyclin D1 antibody, HRP-secondary and DAB substrate. HIER: boil tissue sections in pH8 EDTA for 20 min and allow to cool before testing.
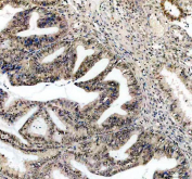
IHC staining of FFPE human colon cancer tissue with Cyclin D1 antibody, HRP-secondary and DAB substrate. HIER: boil tissue sections in pH8 EDTA for 20 min and allow to cool before testing.
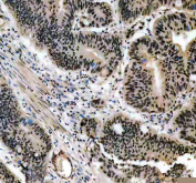
IHC staining of FFPE human endometrial cancer tissue with Cyclin D1 antibody, HRP-secondary and DAB substrate. HIER: boil tissue sections in pH8 EDTA for 20 min and allow to cool before testing.
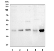
Western blot testing of 1) human HeLa, 2) human SH-SY5Y, 3) human MCF7, 4) rat lung and 5) mouse Neuro-2a cell lysate with Cyclin D1 antibody. Predicted molecular weight: 32-36 kDa.
Availability 1-3 business days
Species Reactivity Human, Mouse, Rat
Format Antigen affinity purified
Clonality Polyclonal (rabbit origin)
Isotype Rabbit IgG
Purity Antigen affinity
Buffer Lyophilized from 1X PBS with 2% Trehalose
UniProt P24385
Localization Nuclear, cytoplasmic
Applications Western Blot : 0.5-1ug/ml
Immunohistochemistry (FFPE) : 2-5ug/ml
Immunofluorescence : 5ug/ml
Limitations This Cyclin D1 antibody is available for research use only.
Review this product on BioCompare and get a $20 Amazon gift card

Related Products

Description

Cyclin D1 (CCND1) is a cell cycle regulatory protein that controls the transition from the G1 to the S phase by activating cyclin-dependent kinases CDK4 and CDK6. Through this interaction, Cyclin D1 helps drive cell proliferation and ensures proper cell cycle progression.

Cyclin D1 expression is regulated by growth factors, hormones, and mitogenic signals. Overexpression or dysregulation of Cyclin D1 has been associated with various cancers, including breast, head and neck, and mantle cell lymphoma. Its role as both a regulator of cell division and a biomarker of tumorigenesis makes it a significant focus in oncology research.

Using a high-quality Cyclin D1 antibody enables sensitive detection in applications such as western blot, immunohistochemistry, and immunofluorescence. A Cyclin D1 antibody from NSJ Bioreagents ensures reproducibility and accuracy for studies in cell cycle control, cancer progression, and transcriptional regulation. Selecting the right Cyclin D1 antibody is essential for generating consistent and reliable data.

Application Notes

Optimal dilution of the Cyclin D1 antibody should be determined by the researcher.

Immunogen

Amino acids HDFIEHFLSKMPEAEENKQIIRKHAQT of human Cyclin D1 were used as the immunogen for the Cyclin D1 antibody.

Storage

After reconstitution, the Cyclin D1 antibody can be stored for up to one month at 4oC. For long-term, aliquot and store at -20oC. Avoid repeated freezing and thawing.

Cross
Bulk Quote Request Form
Name*:
Organization*:
Email*:
Phone Number*:
Catalog No.*:
Comments and Specifics(amount, formulation, etc.)*:
Validation code: Captchapackage Image


Can't read the image? click here to refresh.
    *required field

Your bulk quote request has been submitted successfully!

Please contact us if you have any questions.