• Tel: 858.663.9055
  • SeparatorEmail: info@nsjbio.com
  • Tel: 858.663.9055
  • Email: info@nsjbio.com
Home >> Antibodies >> Cyclin B2 Antibody / CCNB2

Cyclin B2 Antibody / CCNB2 [clone GIG-3] (RQ4801)

  Catalog No Formulation Size Price (USD)  
Image RQ4801 Antibody in PBS with 0.02% sodium azide, 50% glycerol and 0.4-0.5mg/ml BSA 100 ul 439
Microvalidated Rab Mono Image
Bulk quote request
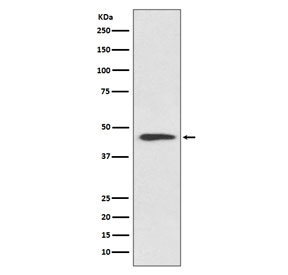
Western blot testing of human HeLa cell lysate with Cyclin B2 antibody. Predicted molecular weight ~44 kDa.
Availability 1-2 weeks
Species Reactivity Human
Format Purified
Clonality Rabbit Monoclonal
Isotype Rabbit IgG
Clone Name GIG-3
Purity Affinity purified
UniProt O95067
Applications Western Blot : 1:500-1:1000
Limitations This Cyclin B2 antibody is available for research use only.
Review this product on BioCompare and get a $20 Amazon gift card

Related Products

Description

Cyclin B2 is a member of the cyclin family, specifically the B-type cyclins. The B-type cyclins, B1 and B2, associate with p34cdc2 and are essential components of the cell cycle regulatory machinery. B1 and B2 differ in their subcellular localization. Cyclin B1 co-localizes with microtubules, whereas cyclin B2 is primarily associated with the Golgi region. Cyclin B2 also binds to transforming growth factor beta RII and thus cyclin B2/cdc2 may play a key role in transforming growth factor beta-mediated cell cycle control. [RefSeq]

Application Notes

Optimal dilution of the Cyclin B2 antibody should be determined by the researcher.

Immunogen

A synthetic peptide specific to human Cyclin B2 / CCNB2 was used as the immunogen for the Cyclin B2 antibody.

Storage

Store the Cyclin B2 antibody at -20oC.

Cross
Bulk Quote Request Form
Name*:
Organization*:
Email*:
Phone Number*:
Catalog No.*:
Comments and Specifics(amount, formulation, etc.)*:
Validation code: Captchapackage Image


Can't read the image? click here to refresh.
    *required field

Your bulk quote request has been submitted successfully!

Please contact us if you have any questions.