• Tel: 858.663.9055
  • SeparatorEmail: info@nsjbio.com
  • Tel: 858.663.9055
  • Email: info@nsjbio.com
Home >> Antibodies >> CYBB Antibody / NOX2 / gp91phox

CYBB Antibody / NOX2 / gp91phox [clone GOH-3] (RQ5084)

  Catalog No Formulation Size Price (USD)  
Image RQ5084 Antibody in PBS with 0.02% sodium azide, 50% glycerol and 0.4-0.5mg/ml BSA 100 ul 439
Microvalidated Rab Mono Image
Bulk quote request
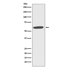
Western blot testing of human MCF7 cell lysate with CYBB antibody. Predicted molecular weight ~65 kDa, can be observed at ~85 kDa.
Availability 1-2 weeks
Species Reactivity Human
Format Purified
Clonality Rabbit Monoclonal
Isotype Rabbit IgG
Clone Name GOH-3
Purity Affinity purified
UniProt P04839
Applications Western Blot : 1:1000-1:2000
Limitations This CYBB antibody is available for research use only.
Review this product on BioCompare and get a $20 Amazon gift card

Related Products

  • Applications : WB, IHC-P
    Reactivity : Human, Mouse, Rat
  • Applications : IHC-P, ELISA (peptide)
    Reactivity : Human
    Pred. Reactivity : Dog
  • Applications : WB, ELISA
    Reactivity : Human, Mouse, Rat
  • Applications : WB, IHC-P, IF, FACS, Direct ELISA
    Reactivity : Human
  • Applications : WB, FACS, Direct ELISA
    Reactivity : Human

Description

Critical component of the membrane-bound oxidase of phagocytes that generates superoxide. It is the terminal component of a respiratory chain that transfers single electrons from cytoplasmic NADPH across the plasma membrane to molecular oxygen on the exterior. Also functions as a voltage-gated proton channel that mediates the H+ currents of resting phagocytes. It participates in the regulation of cellular pH and is blocked by zinc. [UniProt]

Application Notes

Optimal dilution of the CYBB antibody should be determined by the researcher.

Immunogen

A synthetic peptide specific to human Nox2 / CYBB was used as the immunogen for the CYBB antibody.

Storage

Store the CYBB antibody at -20oC.

Cross
Bulk Quote Request Form
Name*:
Organization*:
Email*:
Phone Number*:
Catalog No.*:
Comments and Specifics(amount, formulation, etc.)*:
Validation code: Captchapackage Image


Can't read the image? click here to refresh.
    *required field

Your bulk quote request has been submitted successfully!

Please contact us if you have any questions.