• Tel: 858.663.9055
  • SeparatorEmail: info@nsjbio.com
  • Tel: 858.663.9055
  • Email: info@nsjbio.com
Home >> Antibodies >> CYB5R3 Antibody

CYB5R3 Antibody (R33271)

  Catalog No Formulation Size Price (USD)  
Image R33271-100UG 0.5 mg/ml in 1X TBS, pH7.3, with 0.5% BSA (US sourced) and 0.02% sodium azide 100 ug 449
Bulk quote request
Western blot testing of human umbilical cord lysate with CYB5R3 antibody at 0.01ug/ml. Predicted molecular weight (human): ~34/32/38kDa (isoforms 1/2/3).
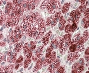
IHC staining of FFPE human adrenal gland with CYB5R3 antibody at 4ug/ml. HIER: steamed with pH6 citrate buffer, AP-staining.
Availability 1-3 business days
Species Reactivity Human
Format Antigen affinity purified
Clonality Polyclonal (goat origin)
Isotype Goat Ig
Purity Antigen affinity
Gene ID 1727
Applications Western Blot : 0.01-0.03ug/ml
Immunohistochemistry (FFPE) : 3-5ug/ml
ELISA (peptide) LOD : 1:32000
Limitations This CYB5R3 antibody is available for research use only.
Review this product on BioCompare and get a $20 Amazon gift card

Related Products

  • Applications : WB
    Reactivity : Human, Rat
    Recrabbitmono
  • Applications : WB, ELISA (peptide)
    Reactivity : Mouse, Rat
    Pred. Reactivity : Cow, Dog
  • Applications : WB, ELISA (peptide)
    Reactivity : Mouse
    Pred. Reactivity : Cow, Dog, Rat
  • Applications : WB, IF, FACS, Direct ELISA
    Reactivity : Human, Mouse, Rat

Description

Additional name(s) for this target protein: Cytochrome b5 reductase 3

Application Notes

Optimal dilution of the CYB5R3 antibody should be determined by the researcher.

Immunogen

Amino acids CLPNLDHVGHPTER were used as the immunogen for this CYB5R3 antibody.

Storage

Aliquot and store the CYB5R3 antibody at -20oC.

Cross
Bulk Quote Request Form
Name*:
Organization*:
Email*:
Phone Number*:
Catalog No.*:
Comments and Specifics(amount, formulation, etc.)*:
Validation code: Captchapackage Image


Can't read the image? click here to refresh.
    *required field

Your bulk quote request has been submitted successfully!

Please contact us if you have any questions.