• Tel: 858.663.9055
  • SeparatorEmail: info@nsjbio.com
  • Tel: 858.663.9055
  • Email: info@nsjbio.com
Home >> Antibodies >> CYB5B Antibody / Cytochrome b5 type B

CYB5B Antibody / Cytochrome b5 type B (RQ6609)

  Catalog No Formulation Size Price (USD)  
Image RQ6609 0.5mg/ml if reconstituted with 0.2ml sterile DI water 100 ug 439
Bulk quote request
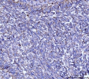
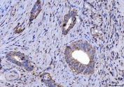
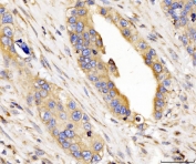
IHC staining of FFPE human breast cancer tissue with CYB5B antibody. HIER: boil tissue sections in pH8 EDTA for 20 min and allow to cool before testing.
IHC staining of FFPE human colorectal cancer tissue with CYB5B antibody. HIER: boil tissue sections in pH8 EDTA for 20 min and allow to cool before testing.
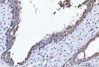
IHC staining of FFPE human placental tissue with CYB5B antibody. HIER: boil tissue sections in pH8 EDTA for 20 min and allow to cool before testing.
IHC staining of FFPE human gall bladder adenosquamous carcinoma tissue with CYB5B antibody. HIER: boil tissue sections in pH8 EDTA for 20 min and allow to cool before testing.
IHC staining of FFPE human lung cancer tissue with CYB5B antibody. HIER: boil tissue sections in pH8 EDTA for 20 min and allow to cool before testing.
Immunofluorescent staining of FFPE human A549 cells with CYB5B antibody (green) and DAPI nuclear stain (blue). HIER: steam section in pH6 citrate buffer for 20 min.
Western blot testing of 1) human HepG2, 2) human A549 and 3) mouse liver tissue lysate with CYB5B antibody. Expected molecular weight: 17-21 kDa.
Flow cytometry testing of human A549 cells with CYB5B antibody at 1ug/million cells (blocked with goat sera); Red=cells alone, Green=isotype control, Blue= CYB5B antibody.
Availability 1-3 business days
Species Reactivity Human, Mouse
Format Antigen affinity purified
Clonality Polyclonal (rabbit origin)
Isotype Rabbit IgG
Purity Antigen affinity purified
Buffer Lyophilized from 1X PBS with 2% Trehalose
UniProt O43169
Localization Cytoplasmic
Applications Western Blot : 1-2ug/ml
Immunohistochemistry (FFPE) : 2-5ug/ml
Immunofluorescence (FFPE) : 5ug/ml
Flow Cytometry : 1-3ug/million cells
Direct ELISA : 0.1-0.5ug/ml
Limitations This CYB5B antibody is available for research use only.
Review this product on BioCompare and get a $20 Amazon gift card

Description

CYB5B (Cytochrome b5 type B) is also named as CYB5M, OMB5 and belongs to the cytochrome b5 family. It is a 21 kDa membrane bound hemoprotein which function as an electron carrier for several membrane bound oxygenases. This protein is expressed on the plasma membrane of lymphoma cells but not normal lymphocytes, reactive lymphocytes or bone marrow precursor cells. The full length protein has a propeptide with 11 amino acids.

Application Notes

Optimal dilution of the CYB5B antibody should be determined by the researcher.

Immunogen

Recombinant human protein (amino acids Q18-E107) was used as the immunogen for the CYB5B antibody.

Storage

After reconstitution, the CYB5B antibody can be stored for up to one month at 4oC. For long-term, aliquot and store at -20oC. Avoid repeated freezing and thawing.

Cross
Bulk Quote Request Form
Name*:
Organization*:
Email*:
Phone Number*:
Catalog No.*:
Comments and Specifics(amount, formulation, etc.)*:
Validation code: Captchapackage Image


Can't read the image? click here to refresh.
    *required field

Your bulk quote request has been submitted successfully!

Please contact us if you have any questions.