• Tel: 858.663.9055
  • SeparatorEmail: info@nsjbio.com
  • Tel: 858.663.9055
  • Email: info@nsjbio.com
Home >> Antibodies >> CXCR5 Antibody / CD185 / BLR1 / MDR15

CXCR5 Antibody / CD185 / BLR1 / MDR15 [clone CXCR5/8146R] (V4213)

  Catalog No Formulation Size Price (USD)  
Image V4213-100UG 0.2 mg/ml in 1X PBS with 0.1 mg/ml BSA (US sourced), 0.05% sodium azide 100 ug 539
Image
V4213-20UG 0.2 mg/ml in 1X PBS with 0.1 mg/ml BSA (US sourced), 0.05% sodium azide 20 ug 249
Image
V4213SAF-100UG 1 mg/ml in 1X PBS; BSA free, sodium azide free 100 ug 539
Microvalidated Recrabbitmono
Bulk quote request
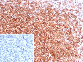
IHC staining of FFPE human tonsil tissue with CXCR5 antibody (clone CXCR5/8146R). Inset: PBS used in place of primary Ab (secondary Ab negative control). HIER: boil tissue sections in pH 9 10mM Tris with 1mM EDTA for 20 min and allow to cool before testing.
Availability 1-3 business days
Species Reactivity Human
Format Purified
Clonality Recombinant Rabbit Monoclonal
Isotype Rabbit IgG, kappa
Clone Name CXCR5/8146R
Purity Protein A/G affinity
UniProt P32302
Localization Cell membrane
Applications Immunohistochemistry (FFPE) : 1-2ug/ml for 30 minutes at RT
Limitations This CXCR5 antibody is available for research use only.
Review this product on BioCompare and get a $20 Amazon gift card

Related Products

Description

Burkitt s lymphoma receptor 1 (Blr1), also called CD185, CXCR5 and MDR15, is a lymphocyte specific chemokine receptor expressed at low levels in secondary lymphoid tissues and in defined structures of the cerebellum. The G protein-coupled receptor has significant homology to other chemokine receptors. Stimulation of Blr1 by its ligand, B-lymphocyte chemoattractant (BLC) results in an influx of calcium into the cell and the chemotaxis of the cell. Blr1 is required for B-cell migration into splenic and Peyer s patch follicles. BLC expression in Peyer s patches is highest in germinal centers, where B cells undergo somatic mutation and affinity maturation.

Application Notes

Optimal dilution of the CXCR5 antibody should be determined by the researcher.

Immunogen

A recombinant partial protein sequence (within amino acids 1-200) from the human protein was used as the immunogen for the CXCR5 antibody.

Storage

Aliquot the CXCR5 antibody and store frozen at -20oC or colder. Avoid repeated freeze-thaw cycles.

Cross
Bulk Quote Request Form
Name*:
Organization*:
Email*:
Phone Number*:
Catalog No.*:
Comments and Specifics(amount, formulation, etc.)*:
Validation code: Captchapackage Image


Can't read the image? click here to refresh.
    *required field

Your bulk quote request has been submitted successfully!

Please contact us if you have any questions.