• Tel: 858.663.9055
  • SeparatorEmail: info@nsjbio.com
  • Tel: 858.663.9055
  • Email: info@nsjbio.com
Home >> Antibodies >> CXCL9 Antibody / MIG

CXCL9 Antibody / MIG (R30501)

  Catalog No Formulation Size Price (USD)  
Image R30501 0.5mg/ml if reconstituted with 0.2ml sterile DI water 100 ug 439
Bulk quote request
Western blot testing of CXCL9 antibody and Lane 1: recombinant human protein 10ng; 2: 5ng; 3: 2.5ng
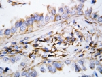
IHC-P: CXCL9 antibody testing of human lung cancer tissue. HIER: steamed with pH6 citrate buffer.
Availability 1-3 business days
Species Reactivity Human
Format Antigen affinity purified
Clonality Polyclonal (rabbit origin)
Isotype Rabbit IgG
Purity Antigen affinity
Buffer Lyophilized from 1X PBS with 2.5% BSA and 0.025% sodium azide/thimerosal
UniProt Q07325
Applications Western Blot : 0.5-1ug/ml
IHC (FFPE) : 0.5-1ug/ml
Limitations This CXCL9 antibody is available for research use only.
Review this product on BioCompare and get a $20 Amazon gift card

Related Products

Description

Chemokine (C-X-C motif) ligand 9 is a small cytokine belonging to the CXC chemokine family that is also known as Monokine induced by gamma interferon (MIG). It is a T-cell chemoattractant, which is induced by IFN-gamma. It is closely related to two other CXC chemokines called CXCL10 and CXCL11, whose genes are located near the gene for CXCL9 on human chromosome 4.1. All three proteins elicit their chemotactic functions by interacting with the chemokine receptor CXCR3.

Application Notes

The stated application concentrations are suggested starting amounts. Titration of the CXCL9 antibody may be required due to differences in protocols and secondary/substrate sensitivity.

Immunogen

An amino acid sequence from the N-terminus of human CXCL9 (NQGTIHLQSLKDLKQ) was used as the immunogen for this CXCL9 antibody.

Storage

After reconstitution, the CXCL9 antibody can be stored for up to one month at 4oC. For long-term, aliquot and store at -20oC. Avoid repeated freezing and thawing.

Cross
Bulk Quote Request Form
Name*:
Organization*:
Email*:
Phone Number*:
Catalog No.*:
Comments and Specifics(amount, formulation, etc.)*:
Validation code: Captchapackage Image


Can't read the image? click here to refresh.
    *required field

Your bulk quote request has been submitted successfully!

Please contact us if you have any questions.