• Tel: 858.663.9055
  • SeparatorEmail: info@nsjbio.com
  • Tel: 858.663.9055
  • Email: info@nsjbio.com
Home >> Antibodies >> CXCL13 Antibody / C-X-C motif chemokine 13 / BCA1

CXCL13 Antibody / C-X-C motif chemokine 13 / BCA1 (FY12908)

  Catalog No Formulation Size Price (USD)  
Image FY12908 Adding 0.2 ml of distilled water will yield a concentration of 500 ug/ml 100 ug 439
Bulk quote request
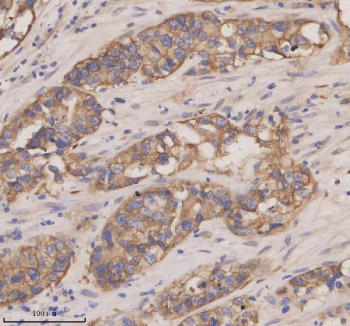
Immunohistochemical staining of CXCL13 using anti-CXCL13 antibody. CXCL13 was detected in a paraffin-embedded section of human appendiceal adenocarcinoma tissue. Heat mediated antigen retrieval was performed in EDTA buffer (pH 8.0, epitope retrieval solution). The tissue section was blocked with 10% goat serum. The tissue section was then incubated with 2 ug/ml rabbit anti-CXCL13 antibody overnight at 4oC. Peroxidase Conjugated Goat Anti-rabbit IgG was used as secondary antibody and incubated for 30 minutes at 37oC. The tissue section was developed using an HRP secondary and DAB substrate.
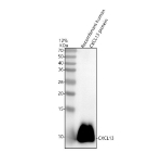
Western blot analysis of CXCL13 using anti-CXCL13 antibody. Lane 1: recombinant human CXCL13 protein. After electrophoresis, proteins were transferred to a nitrocellulose membrane at 150 mA for 50-90 minutes. Blocked the membrane with 5% non-fat milk/TBS for 1.5 hour at RT. The membrane was incubated with rabbit anti-CXCL13 antibody at 0.5 ug/ml overnight at 4oC, then washed with TBS-0.1%Tween 3 times with 5 minutes each and probed with a goat anti-rabbit IgG-HRP secondary antibody at a dilution of 1:5000 for 1.5 hour at RT. The signal was developed using enhanced chemiluminescent. A specific band was detected for CXCL13 at approximately 9 kDa.
Flow Cytometry analysis of SH-SY5Y cells using anti-CXCL13 antibody. Overlay histogram showing SH-SY5Y cells stained with (Blue line). The cells were fixed with 4% paraformaldehyde and blocked with 10% normal goat serum. And then incubated with rabbit anti-CXCL13 antibody (1 ug/million cells) for 30 min at 20oC. DyLight 488 conjugated goat anti-rabbit IgG (5-10 ug/million cells) was used as secondary antibody for 30 minutes at 20oC. Isotype control antibody (Green line) was rabbit IgG (1 ug/million cells) used under the same conditions. Unlabelled sample without incubation with primary antibody and secondary antibody (Red line) was used as a blank control.
Availability 1-2 days
Species Reactivity Human
Format Lyophilized
Clonality Polyclonal (rabbit origin)
Isotype Rabbit IgG
Purity Immunogen affinity purified
Buffer Each vial contains 4 mg Trehalose, 0.9 mg NaCl, 0.2 mg Na2HPO4.
UniProt O43927
Localization Cytoplasmic, secreted
Applications Flow Cytometry : 1-3ug/million cells
Immunohistochemistry : 2-5ug/ml
Western Blot : 0.25-0.5ug/ml
Limitations This CXCL13 antibody is available for research use only.
Review this product on BioCompare and get a $20 Amazon gift card

Related Products

Description

CXCL13 antibody detects C-X-C motif chemokine 13 (also known as B cell-attracting chemokine 1 or BCA1), a small secreted chemokine that directs B cell migration and lymphoid tissue organization. Encoded by the CXCL13 gene on chromosome 4q21.1, this protein belongs to the CXC chemokine family and binds to the receptor CXCR5 on B cells and follicular helper T cells, guiding them into lymphoid follicles during immune responses. CXCL13 plays a pivotal role in germinal center formation and antibody-mediated immunity.

Structurally, CXCL13 is a 109-amino-acid secreted protein of approximately 12 kilodaltons that adopts a characteristic chemokine fold stabilized by disulfide bonds. It is expressed by follicular dendritic cells, stromal cells, and certain epithelial and endothelial cells in lymphoid tissues. Upon secretion, CXCL13 establishes chemotactic gradients that attract CXCR5-positive lymphocytes to B cell zones within lymph nodes, spleen, and tertiary lymphoid structures.

The CXCL13 antibody is widely used in immunology, oncology, and infectious disease research to study chemokine signaling, germinal center formation, and immune cell trafficking. Western blot analysis detects a 12 kilodalton band corresponding to CXCL13, while immunohistochemistry reveals extracellular and stromal staining patterns within lymphoid tissues. This antibody supports quantitative and localization studies of B cell chemotactic signaling and lymphoid organogenesis.

Functionally, CXCL13 orchestrates the spatial organization of adaptive immune responses by regulating migration of B cells and T follicular helper cells. Overexpression of CXCL13 is observed in autoimmune diseases such as rheumatoid arthritis, Sjogren's syndrome, and systemic lupus erythematosus, where ectopic lymphoid structures form in inflamed tissues. It also serves as a biomarker for certain cancers and viral infections, reflecting local immune activation. The CXCL13 antibody provides a sensitive and specific reagent for assessing chemokine expression in tissue sections and culture systems. NSJ Bioreagents validates this antibody for its applications, ensuring reliability for immune signaling and inflammation studies.

Application Notes

Optimal dilution of the CXCL13 antibody should be determined by the researcher.

Immunogen

A synthetic peptide corresponding to a sequence at the C-terminus of human CXCL13 was used as the immunogen for the CXCL13 antibody.

Storage

After reconstitution, the CXCL13 antibody can be stored for up to one month at 4oC. For long-term, aliquot and store at -20oC. Avoid repeated freezing and thawing.

Cross
Bulk Quote Request Form
Name*:
Organization*:
Email*:
Phone Number*:
Catalog No.*:
Comments and Specifics(amount, formulation, etc.)*:
Validation code: Captchapackage Image


Can't read the image? click here to refresh.
    *required field

Your bulk quote request has been submitted successfully!

Please contact us if you have any questions.