• Tel: 858.663.9055
  • SeparatorEmail: info@nsjbio.com
  • Tel: 858.663.9055
  • Email: info@nsjbio.com
Home >> Antibodies >> CXCL1 Antibody / GRO alpha

CXCL1 Antibody / GRO alpha (RQ8121)

  Catalog No Formulation Size Price (USD)  
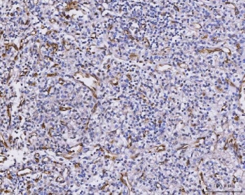
Image RQ8121 0.5mg/ml if reconstituted with 0.2ml sterile DI water 100 ug 439
Bulk quote request
IHC staining of FFPE human glioma tissue with CXCL1 antibody. HIER: boil tissue sections in pH8 EDTA for 20 min and allow to cool before testing.
Availability 1-3 business days
Species Reactivity Human
Format Antigen affinity purified
Clonality Polyclonal (rabbit origin)
Isotype Rabbit IgG
Purity Antigen affinity purified
Buffer Lyophilized from 1X PBS with 2% Trehalose
UniProt P09341
Applications Immunohistochemistry (FFPE) : 2-5ug/ml
Direct ELISA : 0.1-0.5ug/ml
Limitations This CXCL1 antibody is available for research use only.
Review this product on BioCompare and get a $20 Amazon gift card

Related Products

Description

CXCL1 (Chemokine, CXC motif, Ligand 1), also called GRO1, SCYB1, GROA or MGSA, is a small cytokine belonging to the CXC chemokine family that was previously called GRO1 oncogene, GRO alpha, KC, Neutrophil-activating protein 3 (NAP-3) and melanoma growth stimulating activity, alpha (MSGA-alpha). In humans, this protein is encoded by the CXCL1 gene. The CXCL1 gene is mapped on 4q13.3. CXCL1 is secreted by human melanoma cells, has mitogenic properties and is implicated in melanoma pathogenesis. CXCL1 is expressed by macrophages, neutrophils and epithelial cells, and has neutrophil chemoattractant activity. CXCL1 plays a role in spinal cord development by inhibiting the migration of oligodendrocyte precursors and is involved in the processes of angiogenesis, inflammation, wound healing, and tumorigenesis. Signaling through Cxcr2, Cxcl1 inhibited oligodendrocyte precursor migration. The migrational arrest was rapid, reversible, and concentration dependent, and it reflected enhanced cell/substrate interactions. White matter expression of Cxcl1 was temporospatially regulated. Others contribute to aggressive growth selectivity in the lung. Among the lung metastasis signature genes identified, several, including CXCL1, were functionally validated.

Application Notes

Optimal dilution of the CXCL1 antibody should be determined by the researcher.

Immunogen

E. coli-derived recombinant human protein (amino acids A35-N107) was used as the immunogen for the CXCL1 antibody.

Storage

After reconstitution, the CXCL1 antibody can be stored for up to one month at 4oC. For long-term, aliquot and store at -20oC. Avoid repeated freezing and thawing.

Cross
Bulk Quote Request Form
Name*:
Organization*:
Email*:
Phone Number*:
Catalog No.*:
Comments and Specifics(amount, formulation, etc.)*:
Validation code: Captchapackage Image


Can't read the image? click here to refresh.
    *required field

Your bulk quote request has been submitted successfully!

Please contact us if you have any questions.