• Tel: 858.663.9055
  • SeparatorEmail: info@nsjbio.com
  • Tel: 858.663.9055
  • Email: info@nsjbio.com
Home >> Antibodies >> CX3CL1 Antibody

CX3CL1 Antibody (R30472)

  Catalog No Formulation Size Price (USD)  
Image R30472 0.5mg/ml if reconstituted with 0.2ml sterile DI water 100 ug 439
Bulk quote request
Western blot testing of CX3CL1 antibody and Lane 1: recombinant mouse protein 10ng; 2: 5ng; 3: 2.5ng
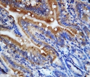
IHC-P: CX3CL1 antibody testing of rat intestine tissue
Availability 1-3 business days
Species Reactivity Mouse, Rat
Format Antigen affinity purified
Clonality Polyclonal (rabbit origin)
Isotype Rabbit IgG
Purity Antigen affinity
Buffer Lyophilized from 1X PBS with 2.5% BSA and 0.025% sodium azide/thimerosal
UniProt O35188
Applications Western Blot : 0.5-1ug/ml
IHC (FFPE) : 0.5-1ug/ml
IHC (Frozen) : 0.5-1ug/ml
Limitations This CX3CL1 antibody is available for research use only.
Review this product on BioCompare and get a $20 Amazon gift card

Related Products

Description

Chemokine(C-X3-C motif) ligand 1 is a large cytokine protein. It is said to be the only known member of the CX3C chemokine family. It is also commonly known under the names fractalkine (in humans) and neurotactin (in mice). Its gene is mapped to the long arm of chromosome 8. Being the large protein, it has got 373 amino acids. Imai et al.(1997) identified a 7-transmembrane high-affinity receptor(CX3CR1; 601470) for fractalkine and showed that it mediates both the adhesive and migratory functions of fractalkine.

Application Notes

The stated application concentrations are suggested starting amounts. Titration of the CX3CL1 antibody may be required due to differences in protocols and secondary/substrate sensitivity.

Immunogen

An amino acid sequence from the N-terminus of mouse CX3CL1 (CADPKEKWVQDAMKHLDHQ) was used as the immunogen for this CX3CL1 antibody (100% rat homology).

Storage

After reconstitution, the CX3CL1 antibody can be stored for up to one month at 4oC. For long-term, aliquot and store at -20oC. Avoid repeated freezing and thawing.

Cross
Bulk Quote Request Form
Name*:
Organization*:
Email*:
Phone Number*:
Catalog No.*:
Comments and Specifics(amount, formulation, etc.)*:
Validation code: Captchapackage Image


Can't read the image? click here to refresh.
    *required field

Your bulk quote request has been submitted successfully!

Please contact us if you have any questions.