• Tel: 858.663.9055
  • SeparatorEmail: info@nsjbio.com
  • Tel: 858.663.9055
  • Email: info@nsjbio.com
Home >> Antibodies >> CVAK104 Antibody / SCYL2

CVAK104 Antibody / SCYL2 (RQ7473)

  Catalog No Formulation Size Price (USD)  
Image RQ7473 0.5mg/ml if reconstituted with 0.2ml sterile DI water 100 ug 439
Bulk quote request
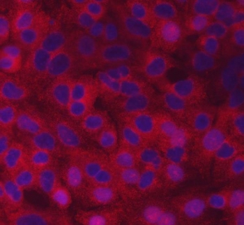
Immunofluorescent staining of FFPE human A549 cells with CVAK104 antibody (red) and DAPI nuclear stain (blue). HIER: steam section in pH6 citrate buffer for 20 min.
Western blot testing of human 1) HeLa, 2) MCF7, 3) 293T and 4) Jurkat cell lysate with CVAK104 antibody. Predicted molecular weight ~104 kDa.
Flow cytometry testing of human U-87 MG cells with CVAK104 antibody at 1ug/million cells (blocked with goat sera); Red=cells alone, Green=isotype control, Blue= CVAK104 antibody.
Availability 1-3 business days
Species Reactivity Human
Format Antigen affinity purified
Clonality Polyclonal (rabbit origin)
Isotype Rabbit IgG
Purity Antigen affinity purified
Buffer Lyophilized from 1X PBS with 2% Trehalose
UniProt Q6P3W7
Localization Cytoplasmic
Applications Western Blot : 0.5-1ug/ml
Immunofluorescence : 5ug/ml
Flow Cytometry : 1-3ug/million cells
Direct ELISA : 0.1-0.5ug/ml
Limitations This CVAK104 antibody is available for research use only.
Review this product on BioCompare and get a $20 Amazon gift card

Description

SCY1-like protein 2, also called Coated vesicle-associated kinase of 104 kDa and CVAK104, is a protein that in humans is encoded by the SCYL2 gene. The protein encoded by this gene associates with clathrin-coated complexes at the plasma membrane and with endocytic coated vesicles. The encoded protein phosphorylates the beta2 subunit of the plasma membrane adapter complex AP2 and interacts with clathrin, showing involvement in clathrin-dependent pathways between the trans-Golgi network and the endosomal system. In addition, this protein has a role in the Wnt signaling pathway by targeting frizzled 5 (Fzd5) for lysosomal degradation. Two transcript variants encoding the same protein have been found for this gene.

Application Notes

Optimal dilution of the CVAK104 antibody should be determined by the researcher.

Immunogen

E. coli-derived recombinant human protein (amino acids E208-Q909) was used as the immunogen for the CVAK104 antibody.

Storage

After reconstitution, the CVAK104 antibody can be stored for up to one month at 4oC. For long-term, aliquot and store at -20oC. Avoid repeated freezing and thawing.

Cross
Bulk Quote Request Form
Name*:
Organization*:
Email*:
Phone Number*:
Catalog No.*:
Comments and Specifics(amount, formulation, etc.)*:
Validation code: Captchapackage Image


Can't read the image? click here to refresh.
    *required field

Your bulk quote request has been submitted successfully!

Please contact us if you have any questions.