• Tel: 858.663.9055
  • SeparatorEmail: info@nsjbio.com
  • Tel: 858.663.9055
  • Email: info@nsjbio.com
Home >> Antibodies >> CTSF Antibody / Cathepsin F

CTSF Antibody / Cathepsin F (FY13174)

  Catalog No Formulation Size Price (USD)  
Image FY13174 Adding 0.2 ml of distilled water will yield a concentration of 500 ug/ml 100 ug 439
Bulk quote request
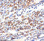
Immunohistochemical staining of Cathepsin F/CTSF using anti-CTSF antibody. Cathepsin F/CTSF was detected in a paraffin-embedded section of human stomach cancer tissue. Heat mediated antigen retrieval was performed in EDTA buffer (pH 8.0, epitope retrieval solution). The tissue section was blocked with 10% goat serum. The tissue section was then incubated with 2 ug/ml rabbit anti-CTSF antibody overnight at 4oC. Peroxidase Conjugated Goat Anti-rabbit IgG was used as secondary antibody and incubated for 30 minutes at 37oC. The tissue section was developed using an HRP secondary and DAB substrate.
Western blot analysis of Cathepsin F/CTSF using anti-CTSF antibody. Lane 1: human 293T whole cell lysates, Lane 2: human SiHa whole cell lysates. After electrophoresis, proteins were transferred to a nitrocellulose membrane at 150 mA for 50-90 minutes. Blocked the membrane with 5% non-fat milk/TBS for 1.5 hour at RT. The membrane was incubated with rabbit anti-CTSF antibody at 0.5 ug/ml overnight at 4oC, then washed with TBS-0.1%Tween 3 times with 5 minutes each and probed with a goat anti-rabbit IgG-HRP secondary antibody at a dilution of 1:5000 for 1.5 hour at RT. The signal was developed using enhanced chemiluminescent. A specific band was detected for Cathepsin F/CTSF at approximately 53 kDa. The expected molecular weight of Cathepsin F/CTSF is at 53 kDa.
Immunohistochemical staining of Cathepsin F/CTSF using anti-CTSF antibody. Cathepsin F/CTSF was detected in a paraffin-embedded section of human thyroid cancer tissue. Heat mediated antigen retrieval was performed in EDTA buffer (pH 8.0, epitope retrieval solution). The tissue section was blocked with 10% goat serum. The tissue section was then incubated with 2 ug/ml rabbit anti-CTSF antibody overnight at 4oC. Peroxidase Conjugated Goat Anti-rabbit IgG was used as secondary antibody and incubated for 30 minutes at 37oC. The tissue section was developed using an HRP secondary and DAB substrate.
Flow Cytometry analysis of SiHa cells using anti-CTSF antibody. Overlay histogram showing SiHa cells stained with (Blue line). To facilitate intracellular staining, cells were fixed with 4% paraformaldehyde and permeabilized with permeabilization buffer. The cells were blocked with 10% normal goat serum. And then incubated with rabbit anti-CTSF antibody (1 ug/million cells) for 30 min at 20oC. DyLight 488 conjugated goat anti-rabbit IgG (5-10 ug/million cells) was used as secondary antibody for 30 minutes at 20oC. Isotype control antibody (Green line) was rabbit IgG (1 ug/million cells) used under the same conditions. Unlabelled sample without incubation with primary antibody and secondary antibody (Red line) was used as a blank control.
Availability 1-2 days
Species Reactivity Human
Format Lyophilized
Clonality Polyclonal (rabbit origin)
Isotype Rabbit IgG
Purity Immunogen affinity purified
Buffer Each vial contains 4 mg Trehalose, 0.9 mg NaCl, 0.2 mg Na2HPO4.
UniProt Q9UBX1
Localization Cytoplasm (lysosome)
Applications Western Blot : 0.25-0.5ug/ml
Immunohistochemistry : 2-5ug/ml
Flow Cytometry : 1-3ug/million cells
Limitations This CTSF antibody is available for research use only.
Review this product on BioCompare and get a $20 Amazon gift card

Related Products

  • Applications : WB, ELISA (peptide)
    Reactivity : Human
    Pred. Reactivity : Mouse, Rat, Dog

Description

CTSF antibody detects Cathepsin F, a lysosomal cysteine protease that mediates protein degradation and turnover in endosomal and lysosomal compartments. The UniProt recommended name is Cathepsin F (CTSF). This protease belongs to the papain-like family of cysteine cathepsins involved in cellular protein recycling and immune antigen processing.

Functionally, CTSF antibody identifies a 484-amino-acid preproenzyme that undergoes proteolytic maturation into active heavy and light chains. Cathepsin F participates in degradation of intracellular and endocytosed proteins, contributing to antigen presentation via MHC class II molecules. It also influences apoptosis, tissue remodeling, and neurodegenerative processes through regulated proteolysis.

The CTSF gene is located on chromosome 11q13.1 and is expressed in brain, liver, spleen, and macrophages. Cathepsin F maintains lysosomal proteolytic balance and participates in innate immune defense through controlled protein breakdown and turnover.

Pathologically, CTSF mutations cause Kufs disease type B, an adult-onset neuronal ceroid lipofuscinosis characterized by progressive neurodegeneration. Dysregulated Cathepsin F expression has also been associated with cancer progression and inflammatory diseases. Research using CTSF antibody supports studies in lysosomal biology, protease regulation, and neurodegenerative mechanisms.

CTSF antibody is validated for western blotting, immunohistochemistry, and immunofluorescence to detect lysosomal proteases. NSJ Bioreagents provides CTSF antibody reagents optimized for proteolysis, neurobiology, and cellular homeostasis research.

Structurally, Cathepsin F features an N-terminal cystatin-like domain and a papain-like catalytic domain containing the conserved cysteine-histidine-asparagine catalytic triad. This antibody enables examination of CTSF's role in lysosomal degradation and neuronal maintenance.

Application Notes

Optimal dilution of the CTSF antibody should be determined by the researcher.

Immunogen

A synthetic peptide corresponding to a sequence in the middle region of human Cathepsin F/CTSF was used as the immunogen for the CTSF antibody.

Storage

After reconstitution, the CTSF antibody can be stored for up to one month at 4oC. For long-term, aliquot and store at -20oC. Avoid repeated freezing and thawing.

Cross
Bulk Quote Request Form
Name*:
Organization*:
Email*:
Phone Number*:
Catalog No.*:
Comments and Specifics(amount, formulation, etc.)*:
Validation code: Captchapackage Image


Can't read the image? click here to refresh.
    *required field

Your bulk quote request has been submitted successfully!

Please contact us if you have any questions.