• Tel: 858.663.9055
  • SeparatorEmail: info@nsjbio.com
  • Tel: 858.663.9055
  • Email: info@nsjbio.com
Home >> Antibodies >> CTSE Antibody / Cathepsin E

CTSE Antibody / Cathepsin E (F54422)

  Catalog No Formulation Size Price (USD)  
Image F54422-0.4ML In 1X PBS, pH 7.4, with 0.09% sodium azide 0.4 ml 429
Image
F54422-0.08ML In 1X PBS, pH 7.4, with 0.09% sodium azide 0.08 ml 199
Bulk quote request
Western blot testing of 1) mouse stomach and 2) rat stomach lysate with CTSE antibody. Predicted molecular weight ~43 kDa.
Western blot testing of 1) mouse spleen and 2) human MKN45 lysate with CTSE antibody. Predicted molecular weight ~43 kDa.
Western blot testing of human 1) MGC803 and 2) MKN45 lysate with CTSE antibody. Predicted molecular weight ~43 kDa.
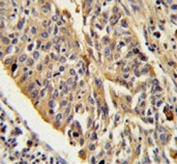
IHC testing of FFPE human lung carcinoma tissue with CTSE antibody. HIER: steam section in pH6 citrate buffer for 20 min and allow to cool prior to staining.
Flow cytometry testing of human K562 cells with CTSE antibody; Blue=isotype control, Green= CTSE antibody.
Availability 1-3 business days
Species Reactivity Human, Mouse, Rat
Format Purified
Clonality Polyclonal (rabbit origin)
Isotype Rabbit Ig
Purity Antigen affinity purified
UniProt P14091
Applications Western Blot : 1:500-1:2000
Flow Cytometry : 1:25 (1x10e6 cells)
Immunohistochemistry (FFPE) : 1:25
Limitations This CTSE antibody is available for research use only.
Review this product on BioCompare and get a $20 Amazon gift card

Related Products

Description

CTSE is a gastric aspartyl protease that functions as a disulfide-linked homodimer. This protease, which is a member of the peptidase C1 family, has a specificity similar to that of pepsin A and cathepsin D. It is an intracellular proteinase that does not appear to be involved in the digestion of dietary protein and is found in highest concentration in the surface of epithelial mucus-producing cells of the stomach. It is the first aspartic proteinase expressed in the fetal stomach and is found in more than half of gastric cancers. It appears, therefore, to be an oncofetal antigen.

Application Notes

The stated application concentrations are suggested starting points. Titration of the CTSE antibody may be required due to differences in protocols and secondary/substrate sensitivity.

Immunogen

A portion of amino acids 157-187 from the human protein was used as the immunogen for the CTSE antibody.

Storage

Aliquot the CTSE antibody and store frozen at -20oC or colder. Avoid repeated freeze-thaw cycles.

Cross
Bulk Quote Request Form
Name*:
Organization*:
Email*:
Phone Number*:
Catalog No.*:
Comments and Specifics(amount, formulation, etc.)*:
Validation code: Captchapackage Image


Can't read the image? click here to refresh.
    *required field

Your bulk quote request has been submitted successfully!

Please contact us if you have any questions.