• Tel: 858.663.9055
  • SeparatorEmail: info@nsjbio.com
  • Tel: 858.663.9055
  • Email: info@nsjbio.com
Home >> Antibodies >> CTSB Antibody / Cathepsin B

CTSB Antibody / Cathepsin B (RQ6856)

  Catalog No Formulation Size Price (USD)  
Image RQ6856 0.5mg/ml if reconstituted with 0.2ml sterile DI water 100 ug 439
Bulk quote request
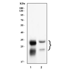
Western blot testing of human 1) U-87 MG and 2) HepG2 cell lysate with CTSB antibody. Molecular weight: 38-46 kDa depending on glycosylation level. An ~31 kDa form (propeptide removed) may be observed and may be further processed into an ~25 kDa heavy chain and ~5 kDa light chain.
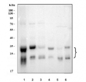
Western blot testing of 1) human U-87 MG, 2) human HepG2, 3) human A549, 4) rat brain, 5) rat liver and 6) mouse liver tissue lysate with CTSB antibody. Molecular weight: 38-46 kDa depending on glycosylation level. An ~31 kDa form (propeptide removed) may be observed and may be further processed into an ~25 kDa heavy chain and ~5 kDa light chain.
IHC staining of FFPE human rectal cancer tissue with CTSB antibody. HIER: boil tissue sections in pH8 EDTA for 20 min and allow to cool before testing.
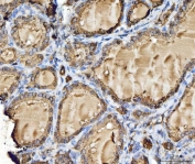
IHC staining of FFPE human thyroid cancer tissue with CTSB antibody. HIER: boil tissue sections in pH8 EDTA for 20 min and allow to cool before testing.
IHC staining of FFPE human liver cancer tissue with CTSB antibody. HIER: boil tissue sections in pH8 EDTA for 20 min and allow to cool before testing.
IHC staining of FFPE mouse liver cancer tissue with CTSB antibody. HIER: boil tissue sections in pH8 EDTA for 20 min and allow to cool before testing.
IHC staining of FFPE rat liver cancer tissue with CTSB antibody. HIER: boil tissue sections in pH8 EDTA for 20 min and allow to cool before testing.
Flow cytometry testing of human SiHa cells with CTSB antibody at 1ug/million cells (blocked with goat sera); Red=cells alone, Green=isotype control, Blue= CTSB antibody.
Availability 1-3 business days
Species Reactivity Human, Mouse, Rat
Format Antigen affinity purified
Clonality Polyclonal (rabbit origin)
Isotype Rabbit IgG
Purity Antigen affinity purified
Buffer Lyophilized from 1X PBS with 2% Trehalose
UniProt P07858
Localization Cytoplasm, cell membrane, secreted
Applications Western Blot : 1-2ug/ml
Flow Cytometry : 1-3ug/million cells
Immunohistochemistry (FFPE) : 2-5ug/ml
Direct ELISA : 0.1-0.5ug/ml
Limitations This CTSB antibody is available for research use only.
Review this product on BioCompare and get a $20 Amazon gift card

Related Products

Description

Cathepsin B is an enzymatic protein belonging to the peptidase or protease families. In humans, it is coded by the CTSB gene. And this gene is mapped to chromosome 8p22. The protein encoded by this gene is a lysosomal cysteine proteinase composed of a dimer of disulfide-linked heavy and light chains, both produced from a single protein precursor. It is a member of the peptidase C1 family. Cathepsin B was once suspected as a candidate protease participating in the conversion of beta-amyloid precursor protein into the amyloid plaques found in Alzheimer's disease patients. However, this function is now known to be mediated by BACE1 protease. It is now thought that cathepsin B can degrade beta-amyloid precursor protein into harmless fragments. Thus, it is conceivable cathepsin B may play a pivotal role in the natural defense against Alzheimer's disease. Overexpression of cathepsin B has been associated with esophageal adenocarcinoma and other tumors. At least five transcript variants encoding the same protein have been found for this gene.

Application Notes

Optimal dilution of the CTSB antibody should be determined by the researcher.

Immunogen

Recombinant human protein (amino acids Q42-K339) was used as the immunogen for the CTSB antibody.

Storage

After reconstitution, the CTSB antibody can be stored for up to one month at 4oC. For long-term, aliquot and store at -20oC. Avoid repeated freezing and thawing.

Cross
Bulk Quote Request Form
Name*:
Organization*:
Email*:
Phone Number*:
Catalog No.*:
Comments and Specifics(amount, formulation, etc.)*:
Validation code: Captchapackage Image


Can't read the image? click here to refresh.
    *required field

Your bulk quote request has been submitted successfully!

Please contact us if you have any questions.