• Tel: 858.663.9055
  • SeparatorEmail: info@nsjbio.com
  • Tel: 858.663.9055
  • Email: info@nsjbio.com
Home >> Antibodies >> CTBP2 Antibody

CTBP2 Antibody (R30631)

  Catalog No Formulation Size Price (USD)  
Image R30631 0.5mg/ml if reconstituted with 0.2ml sterile DI water 100 ug 439
Bulk quote request
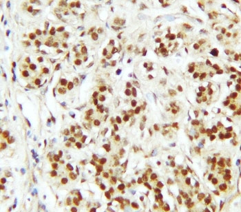
IHC staining of FFPE human breast cancer tissue with CTBP2 antibody. HIER: boil tissue sections in pH6 citrate buffer for 20 min and allow to cool before testing.
ICC staining of FFPE human HeLa cells with CTBP2 antibody. HIER: boil tissue sections in pH6 citrate buffer for 20 min and allow to cool before testing.
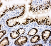
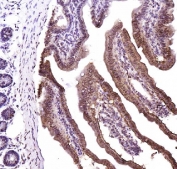
IHC staining of FFPE mouse intestinal tissue with CTBP2 antibody. HIER: boil tissue sections in pH6 citrate buffer for 20 min and allow to cool before testing.
IHC staining of frozen mouse intestinal tissue with CTBP2 antibody.
IHC staining of FFPE rat brain tissue with CTBP2 antibody. HIER: boil tissue sections in pH6 citrate buffer for 20 min and allow to cool before testing.
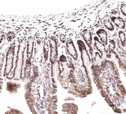
IHC staining of FFPE rat intestinal tissue with CTBP2 antibody. HIER: boil tissue sections in pH6 citrate buffer for 20 min and allow to cool before testing.
IHC staining of frozen rat intestinal tissue with CTBP2 antibody.
Western blot testing of 1) human A549, 2) human HEK293, 3) human Caco-2, 4) human U-2 OS, 5) rat brain and 6) mouse lung tissue lysate with CTBP2 antibody. Predicted molecular weight ~49 kDa.
Availability 1-3 business days
Species Reactivity Human, Mouse, Rat
Format Antigen affinity purified
Clonality Polyclonal (rabbit origin)
Isotype Rabbit IgG
Purity Antigen affinity
Buffer Lyophilized from 1X PBS with 2.5% BSA and 0.025% sodium azide/thimerosal
UniProt P56545
Localization Nuclear, cell junctions
Applications Western Blot : 0.5-1ug/ml
Immunohistochemistry (FFPE) : 0.5-1ug/ml
Immunohistochemistry (Frozen) : 0.5-1ug/ml
Immunocytochemistry : 0.5-1ug/ml
Limitations This CTBP2 antibody is available for research use only.
Review this product on BioCompare and get a $20 Amazon gift card

Related Products

Description

The E1a region of group C adenoviruses encodes 2 nearly identical proteins that are largely responsible for the oncogenic properties of adenoviruses. The CTBP1 protein binds to the C-terminal half of these E1A proteins. Its predicted that CTBP2 is a 445-amino acid protein and it is 72% identical to CTBP1. The gene is mapped to chromosome 10q26.13. CTBP2 is a mammalian corepressor that targets diverse transcriptional regulators. It bounds the short medial portion of delta-EF1 containing the PLDLSL motif and it enhances transrepression activity of delta-EF1.

Application Notes

The stated application concentrations are suggested starting amounts. Titration of the CTBP2 antibody may be required due to differences in protocols and secondary/substrate sensitivity.

Immunogen

An amino acid sequence from the C-terminus of CTBP2 (PNQPTKHGDNREHPNEQ) was used as the immunogen for this CTBP2 antibody (100% homologous in human, mouse and rat).

Storage

After reconstitution, the CTBP2 antibody can be stored for up to one month at 4oC. For long-term, aliquot and store at -20oC. Avoid repeated freezing and thawing.

Cross
Bulk Quote Request Form
Name*:
Organization*:
Email*:
Phone Number*:
Catalog No.*:
Comments and Specifics(amount, formulation, etc.)*:
Validation code: Captchapackage Image


Can't read the image? click here to refresh.
    *required field

Your bulk quote request has been submitted successfully!

Please contact us if you have any questions.